2025/08/21
【補骨】
"補骨”是想要植牙的患者最常聽到醫生提到的詞。但你真的知道為什麼要補骨嗎?
長期缺牙或是牙周病等…各種原因會導致骨頭缺失,足夠的骨量可以使植體與骨頭緊密結合,增加植牙的穩定性,延長其使用壽命,換句話說,如果骨頭不足可能導致植體鬆動、脫落,甚至植牙失敗。所以補骨,跟植牙壽命跟成功率可以說是息息相關 。總而言之,補骨是植牙手術中非常重要的一環,它可以為植牙提供穩固的基礎,提高植牙的成功率和壽命,並維持口腔的健康。
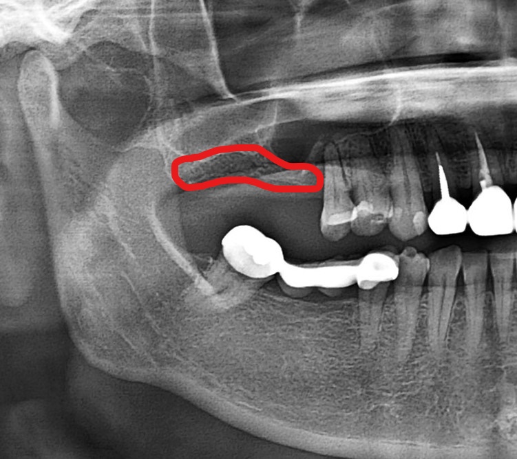
- 術 前
患者因長期缺牙以及鼻竇位置較低導致原先的骨量較薄較少,影響植牙的條件。

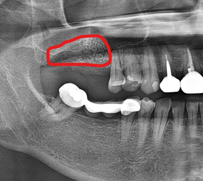
- 術 後
經醫生判斷下,在植牙手術前先做鼻竇增高補骨手術,讓骨頭條件變好,大大增加之後植牙手術成功率及穩定度。
