2025/08/21
【仿真全瓷冠】
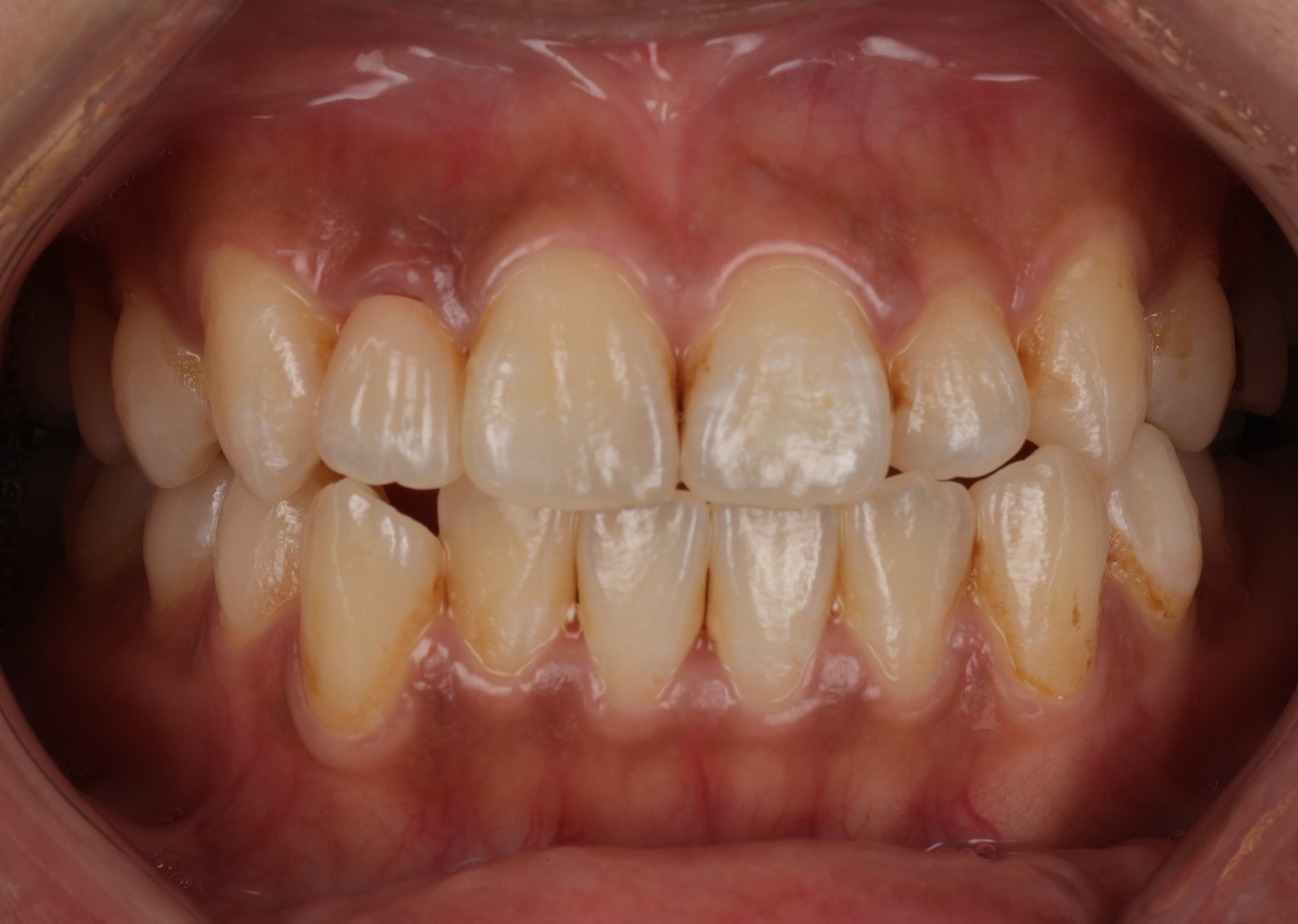
【 案 例 一 】
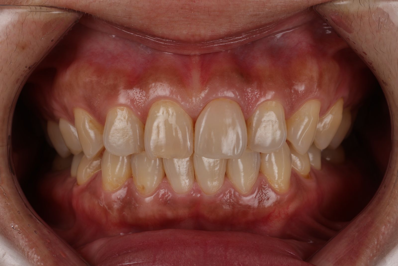
- 患者目前只想把以前舊的金屬假牙換掉,希望能做單顆的仿真全瓷冠!期間先做冷光美白讓牙齒整體變白,用保養型冷光美白,讓其他自然牙的部分可以白2~3個色階。一段時間讓顏色穩定後就可以用數位比色來製作正式全瓷冠,用特殊染色讓陶瓷也能有真牙的通透漸層感。
【 案 例 二 】
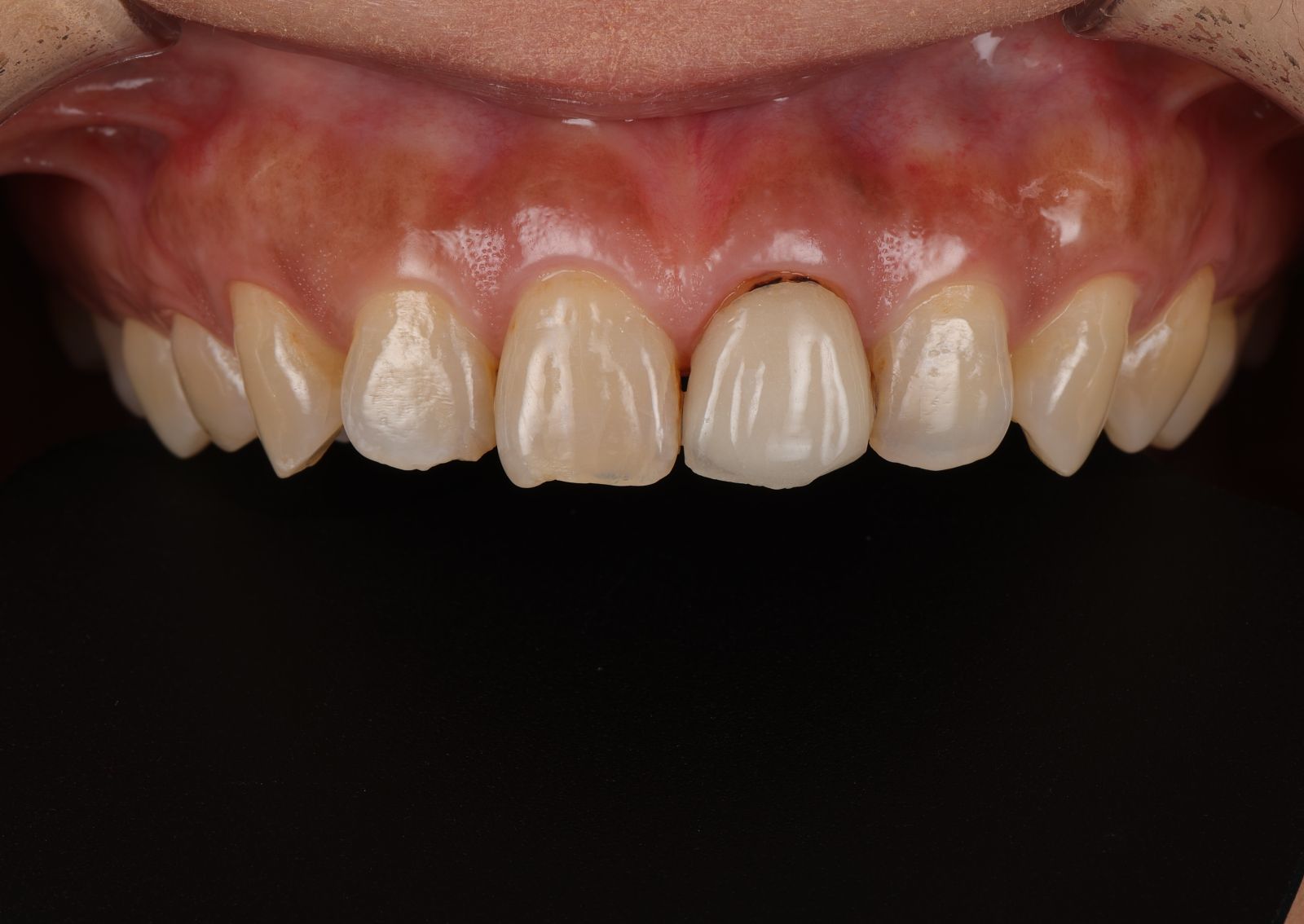
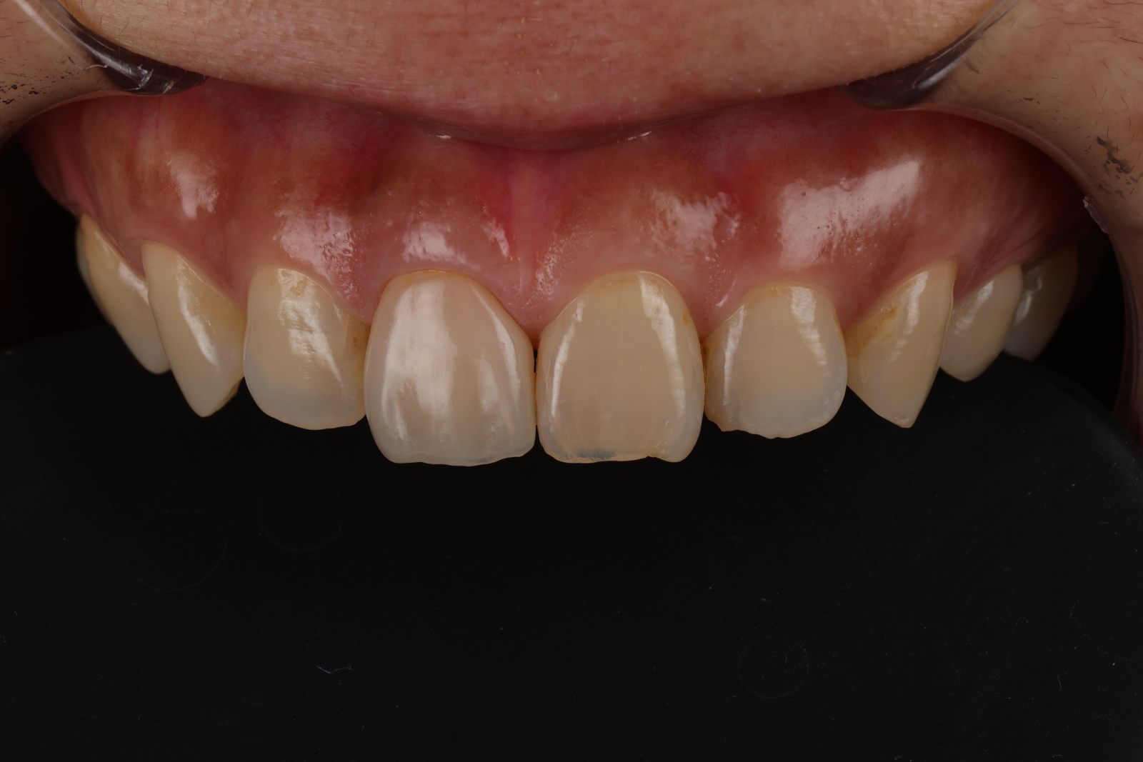
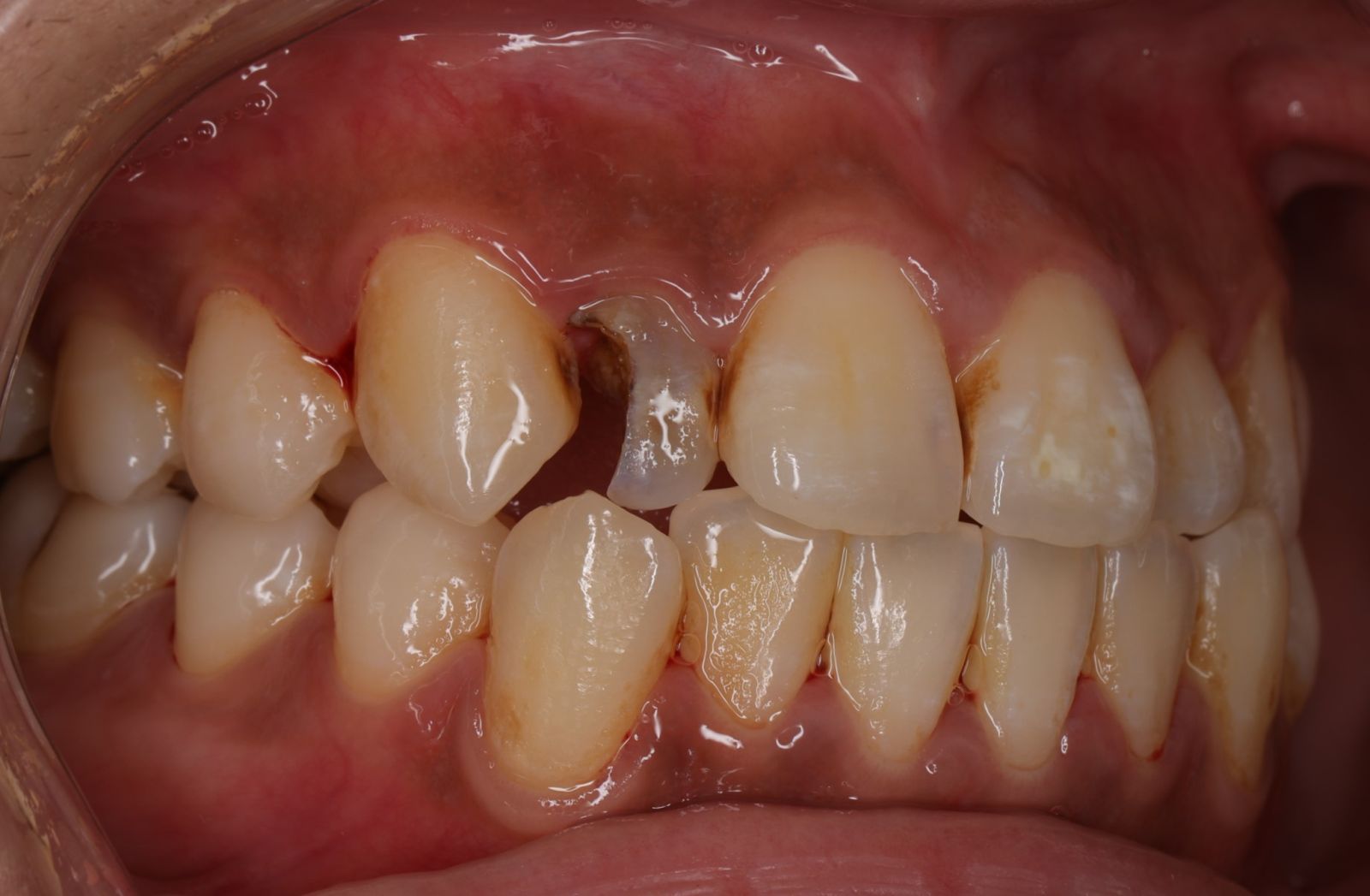
- 因為蛀牙而斷裂的牙齒,也是能用全瓷冠修復的!牙齒並不是只要斷掉就一定要拔除,用仿真全瓷冠修復後的牙齒還是能正常使用,仿真牙的染色手法,讓假牙在大家的映象中,不再只有”假”。

【 案 例 三】
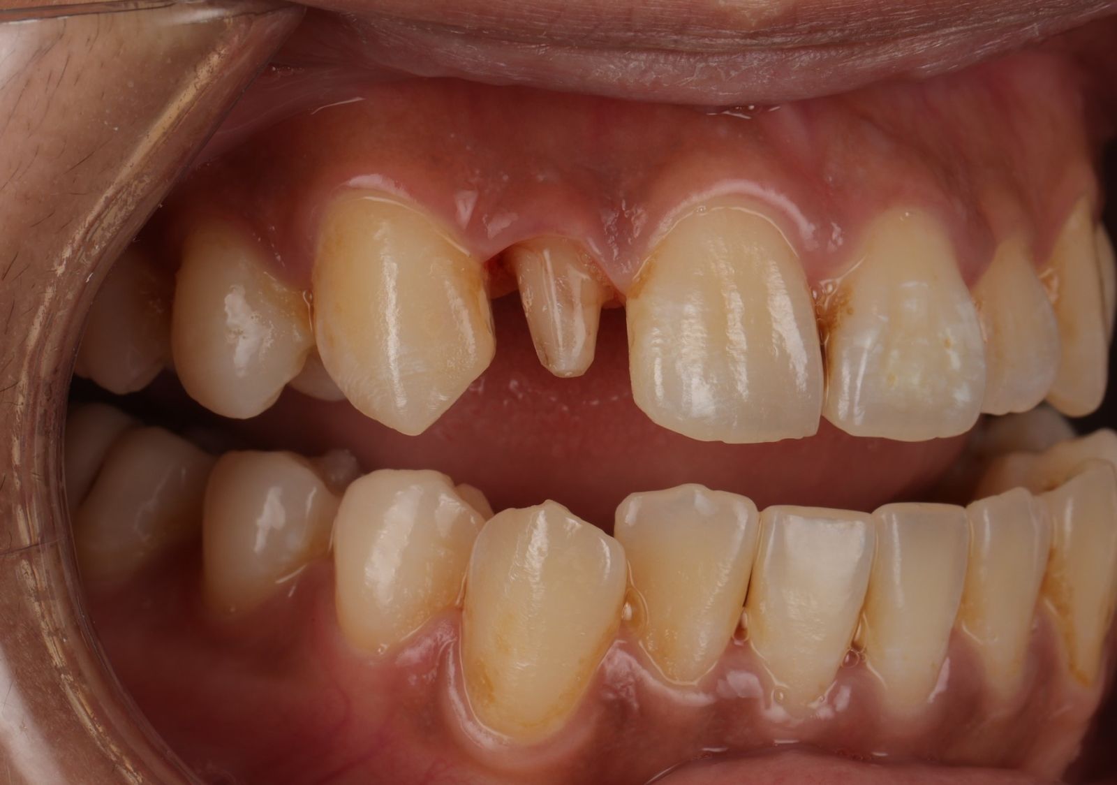
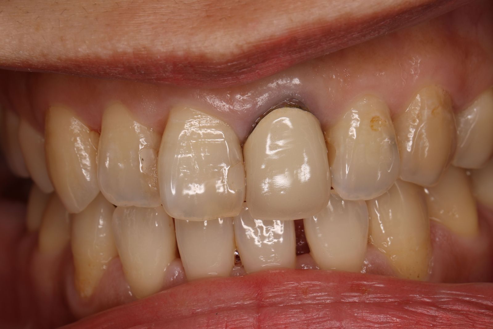
- 舊的假牙不密合後會在牙齦邊緣露出縫隙,如果沒有適時更換會導致蛀牙,如果沿著牙冠蛀進去可能會導致牙齒亂裂,嚴重的話只能拔除牙齒。檢查牙齒時應該依照醫師囑咐適當的時機更換掉原有的假牙。

-
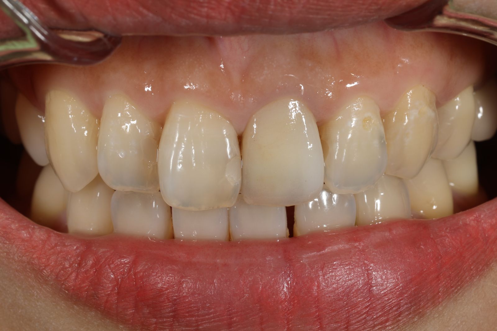
新的全瓷冠不只有好的密合度,還能用特殊染色手法讓牙齒看不出真假!無論是顏色、通透感,甚至到切端不規則的細節,都能做到自然仿真感來”以假亂真”。
