
2025/08/21
【前牙美學】
前牙美學是指針對美觀區(通常是門牙、側門牙和犬齒)進行的美容性牙科治療,用意在改善牙齒的外觀,讓笑容更美觀自然。 這包括調整牙齒的顏色、形狀、排列和牙齦的比例,以達到更協調和吸引人的微笑效果。 比較常見的做法有全瓷冠跟美白貼片,需要的話經醫生評估會搭配牙齦整形術。
【 案 例 一 】
- 患者因為以前矯正疏於清潔,很多的蛀牙以及抽過神經的牙齒斷裂缺損,脆弱的牙齒影響健康及美觀。把牙齒磨小的過程會挖除蛀牙,保留健康的牙齒,用陶瓷纖維牙釘維持強度,過程會先用臨時牙套與醫師討論型態,最後依照自己喜歡的顏色及外型設計專屬於自己的前牙美學全瓷冠假牙!
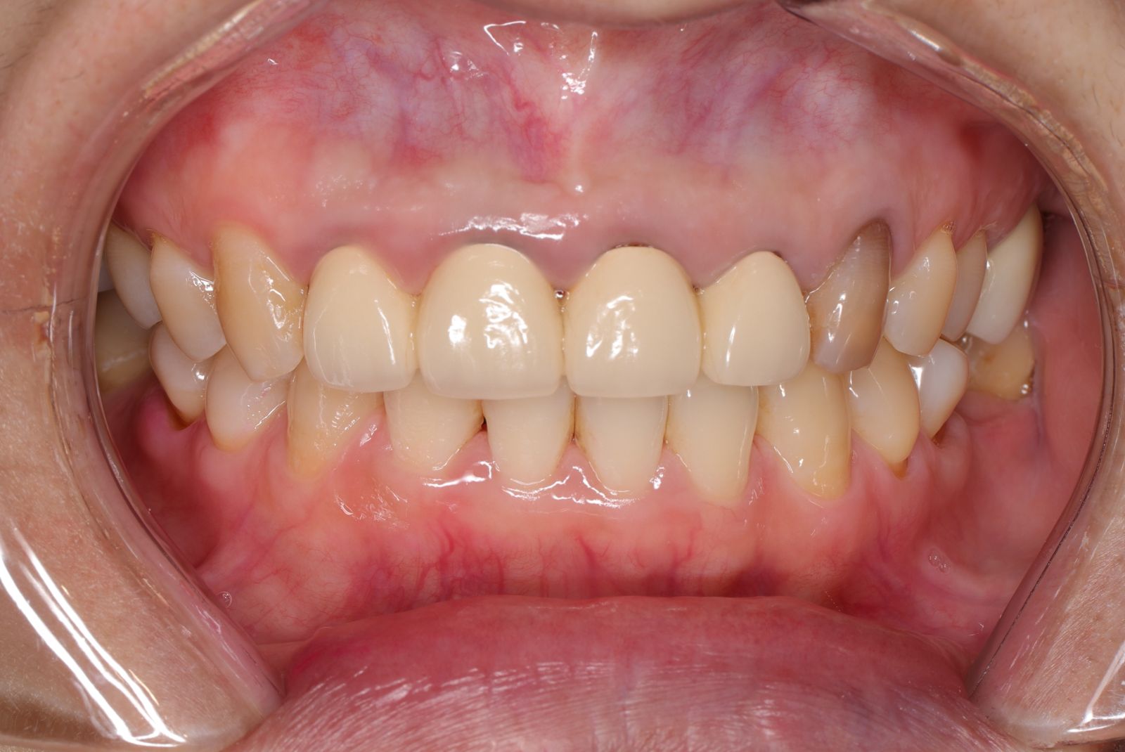
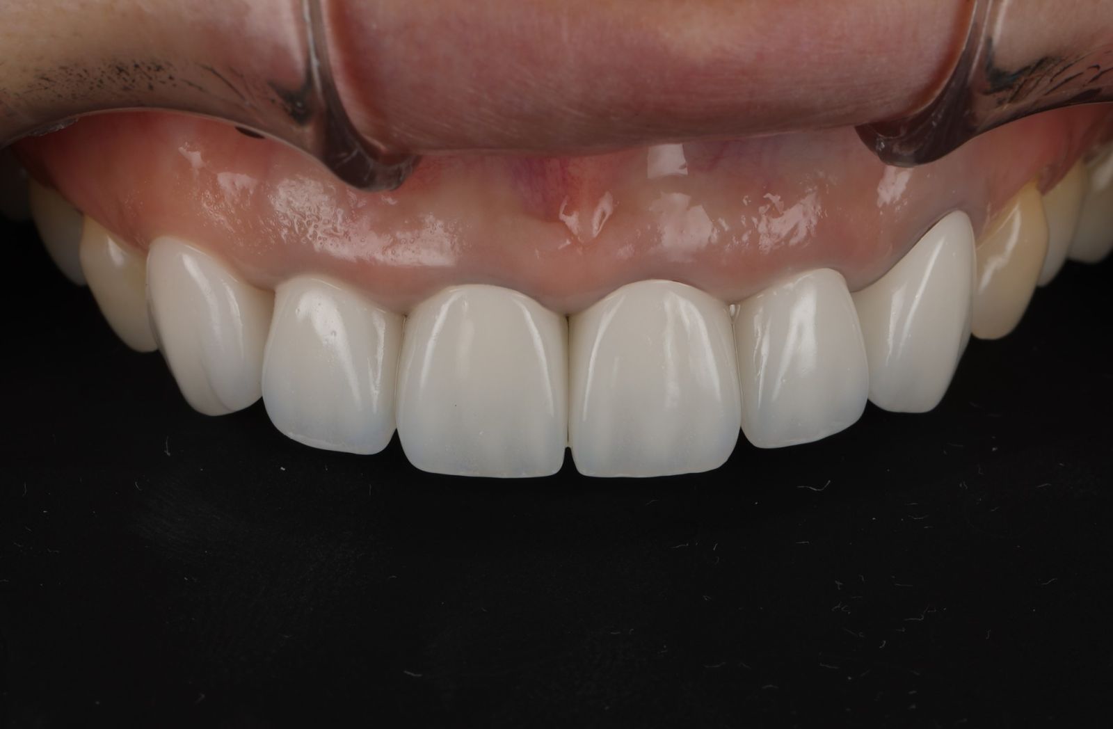
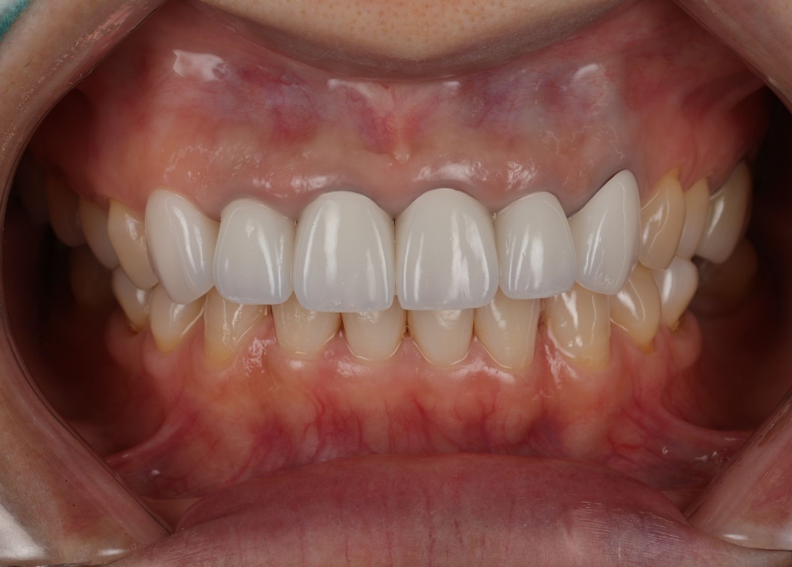
【 案 例 二】
-
患者因為以前做的金屬假牙邊緣不密合,被金屬染色變黑,以及抽過神經犬齒變色影響美觀。
希望牙齒前牙區能一致變白,型態上也希望能調整得更自然,跟醫生討論之下決定把笑容區6顆牙齒都一起做前牙美學,用全瓷冠搭配美白貼片一起處理!
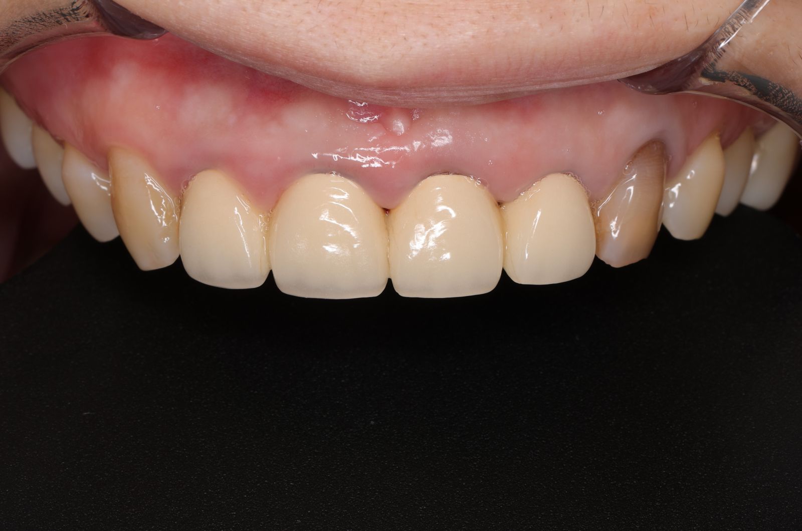
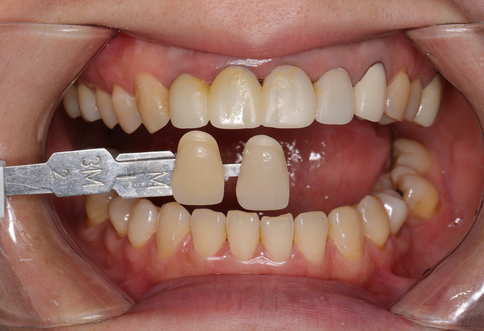
- 先把舊的假牙拆除後換成臨時假牙,期間先做冷光美白讓牙齒的基礎顏色變白,用保養型冷光美白,讓其他自然牙的部分可以白2~3個色階。一段時間讓顏色穩定後就可以當作正式全瓷冠的顏色參考。
-
經過數位微笑曲線設計,選擇自己喜歡的色階後就可以製作適合自己的美學全瓷牙囉!全瓷冠經過特殊處理呈現的通透感,讓牙齒白而自然透亮。