
2025/08/20
【齒顎矯正】
齒顎矯正主要是透過矯正裝置來調整排列不整齊的牙齒、及上下顎骨生長的問題,以改善咬合功能和外觀。 這不僅能提升口腔衛生,還能幫助患者恢復正常的咬合功能,減輕消化負擔。
矯正裝置有非常多種,其中包含:傳統金屬矯正器、陶瓷矯正器、滑蓋式矯正器、隱形矯正…
傳統矯正器是藉由在牙齒上黏著矯正器,利用矯正線來調整和移動牙齒的位置,過程也會搭配橡皮筋或是骨釘等….輔助裝置來幫助牙齒調整到位。
傳統矯正器的優點是不會像隱形牙套有配戴時間不足的問題,只要矯正器和矯正線不脫落就能夠持續調整牙齒。缺點是需要花費較多時間去清潔牙齒去預防蛀牙。除此之外,飲食上也需要注意避免吃太硬或太大塊的東西,以免矯正器脫落和矯正線刺出造成口腔不適,而且因為矯正器在口內不斷影響牙齒的排列移動,非常需要定回診讓醫生調整,才能達到預期的效果。
隱形牙套是比較新式的矯正方式,是一種利用可拆卸的透明牙套來矯正牙齒的裝置。 相比傳統的金屬牙套,隱形牙套具有美觀、舒適、方便清潔等優點。 隱形牙套的原理是通過一系列客製化的透明牙套,逐步將牙齒移動到理想位置。
【 案 例 一 】
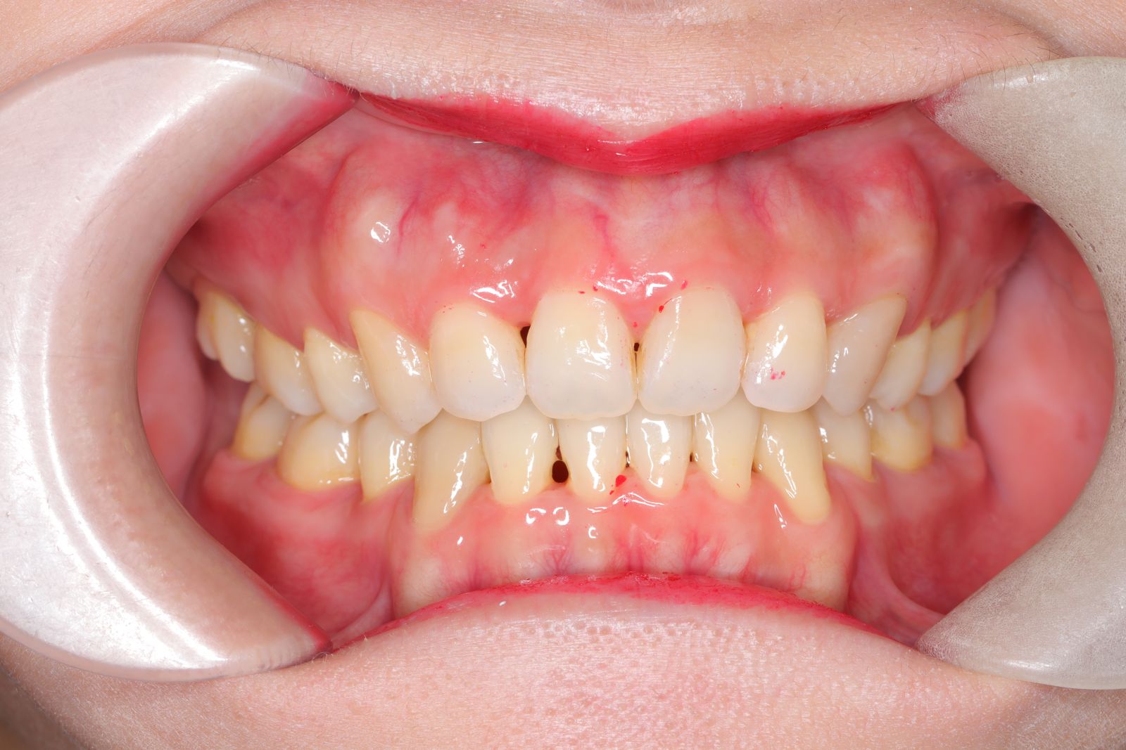
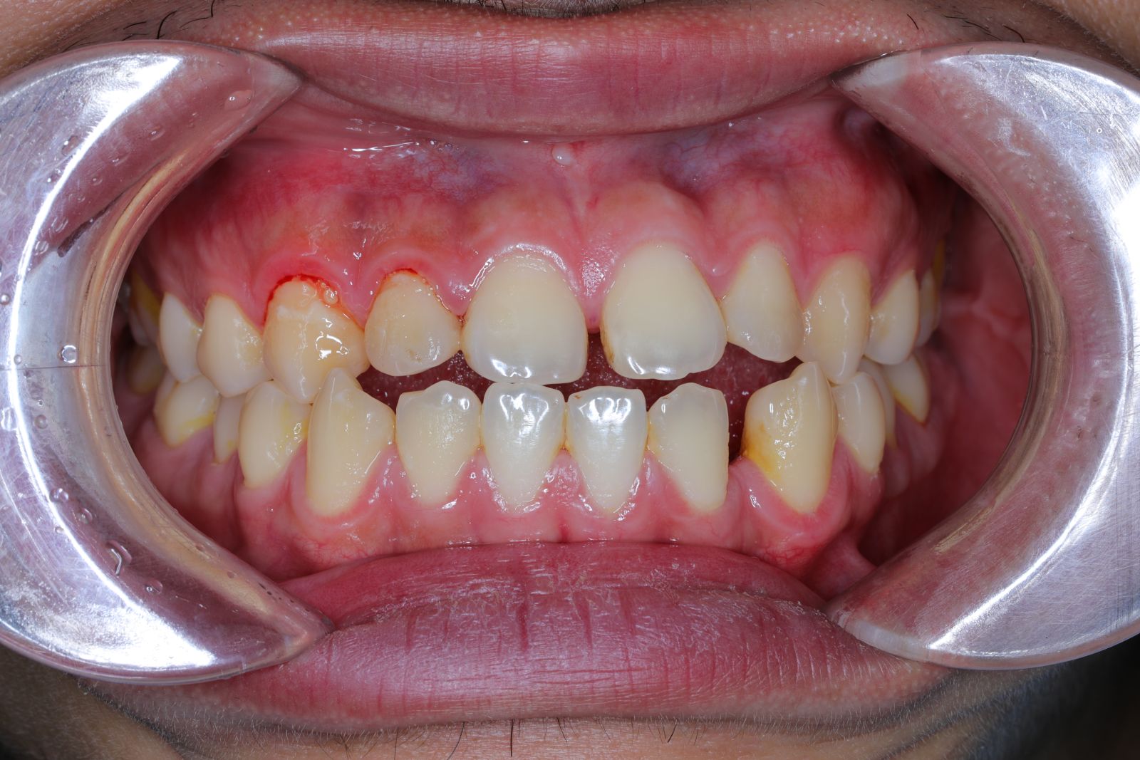
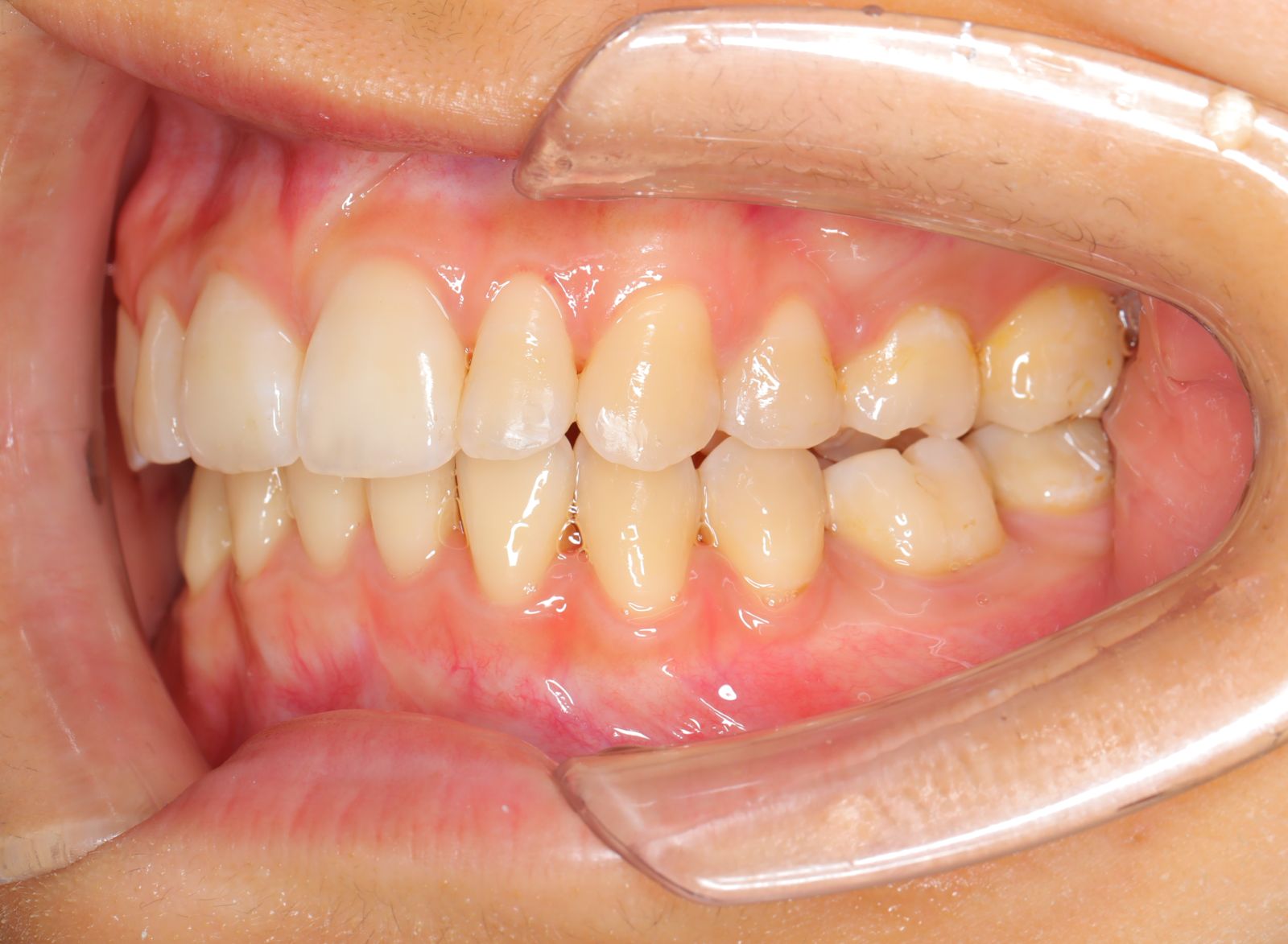
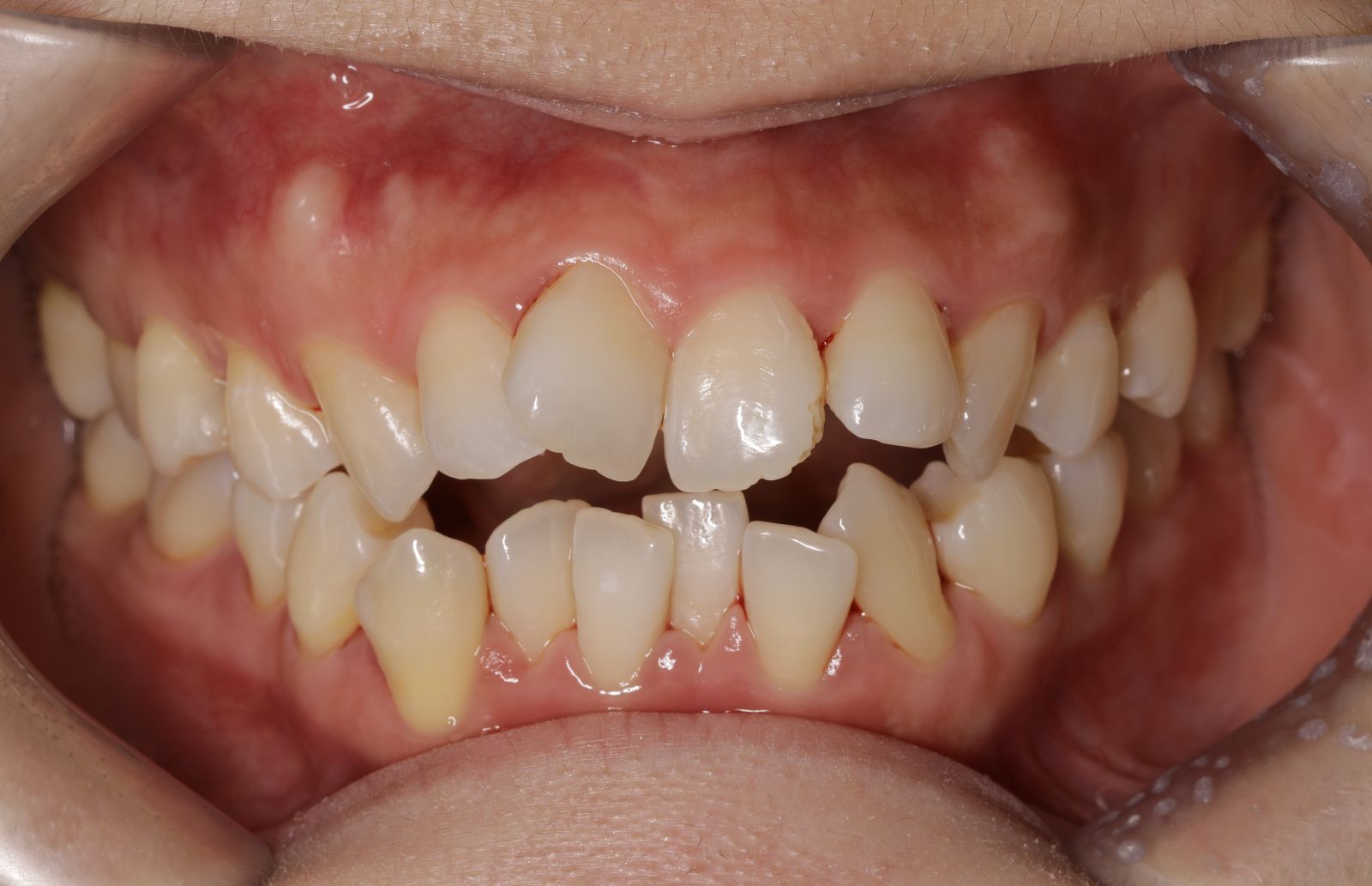
患者想矯正的主要訴求是牙齒亂、牙弓太窄造成暴牙影響笑容,門牙開咬也影響唇形。也是普遍亞洲人口腔咬合常見的問題。
矯正過程中院長林政憲醫師,拔了4顆小臼齒,經過1年4個月幫助患者完成矯正療程。用拔牙空間改善暴牙、把牙齒排整齊後,還給患者更自信的笑容!
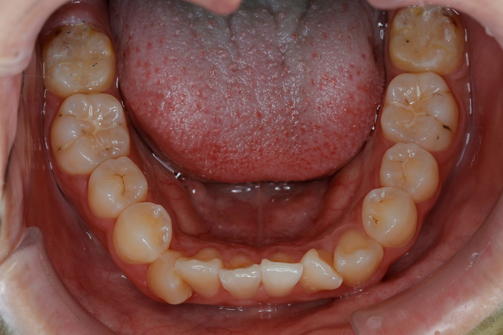
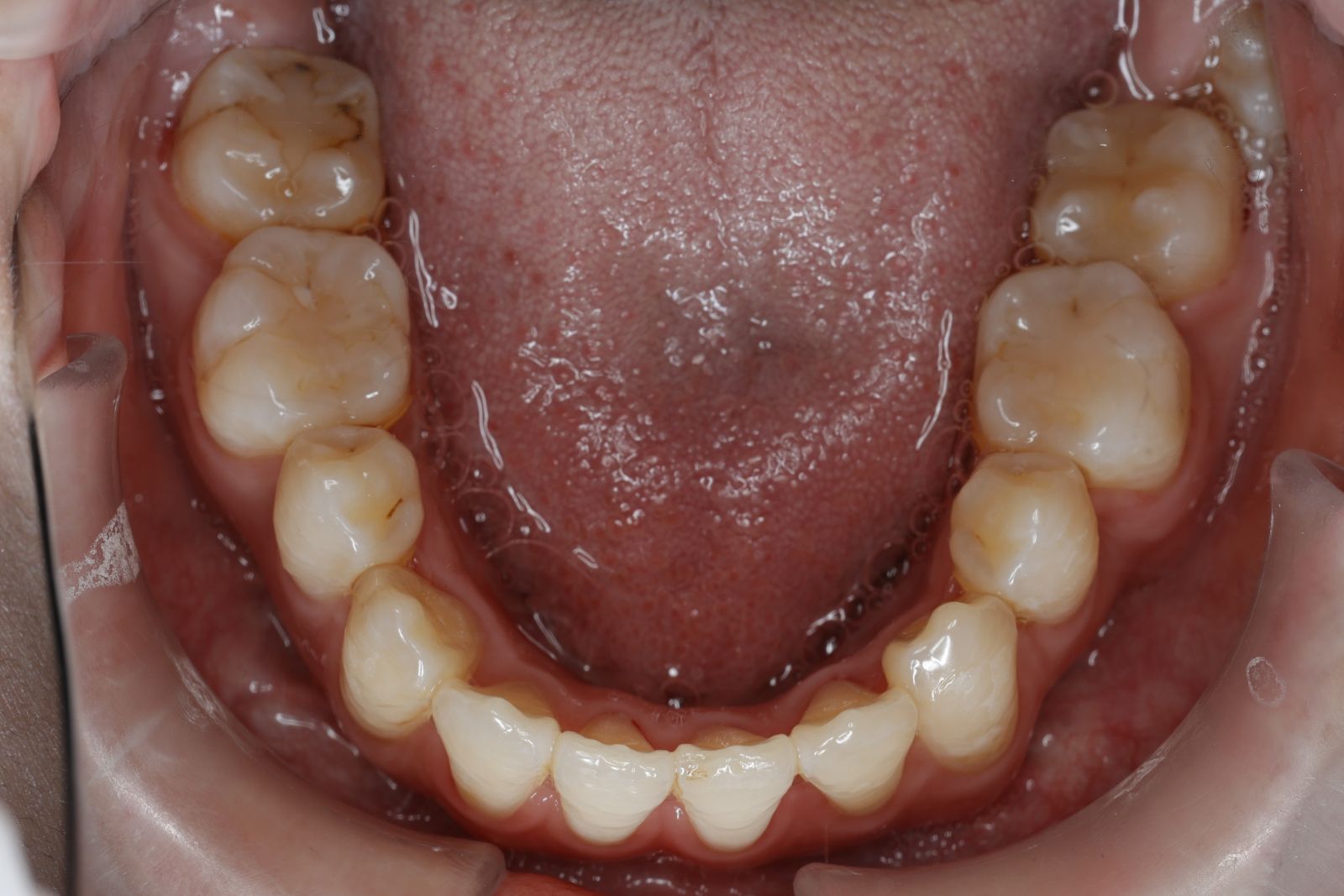
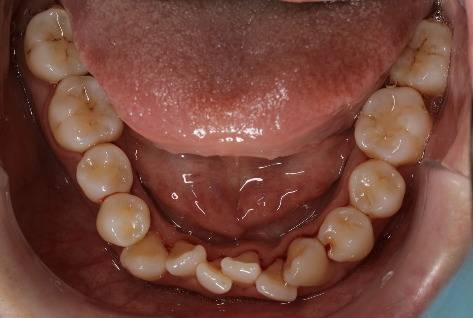
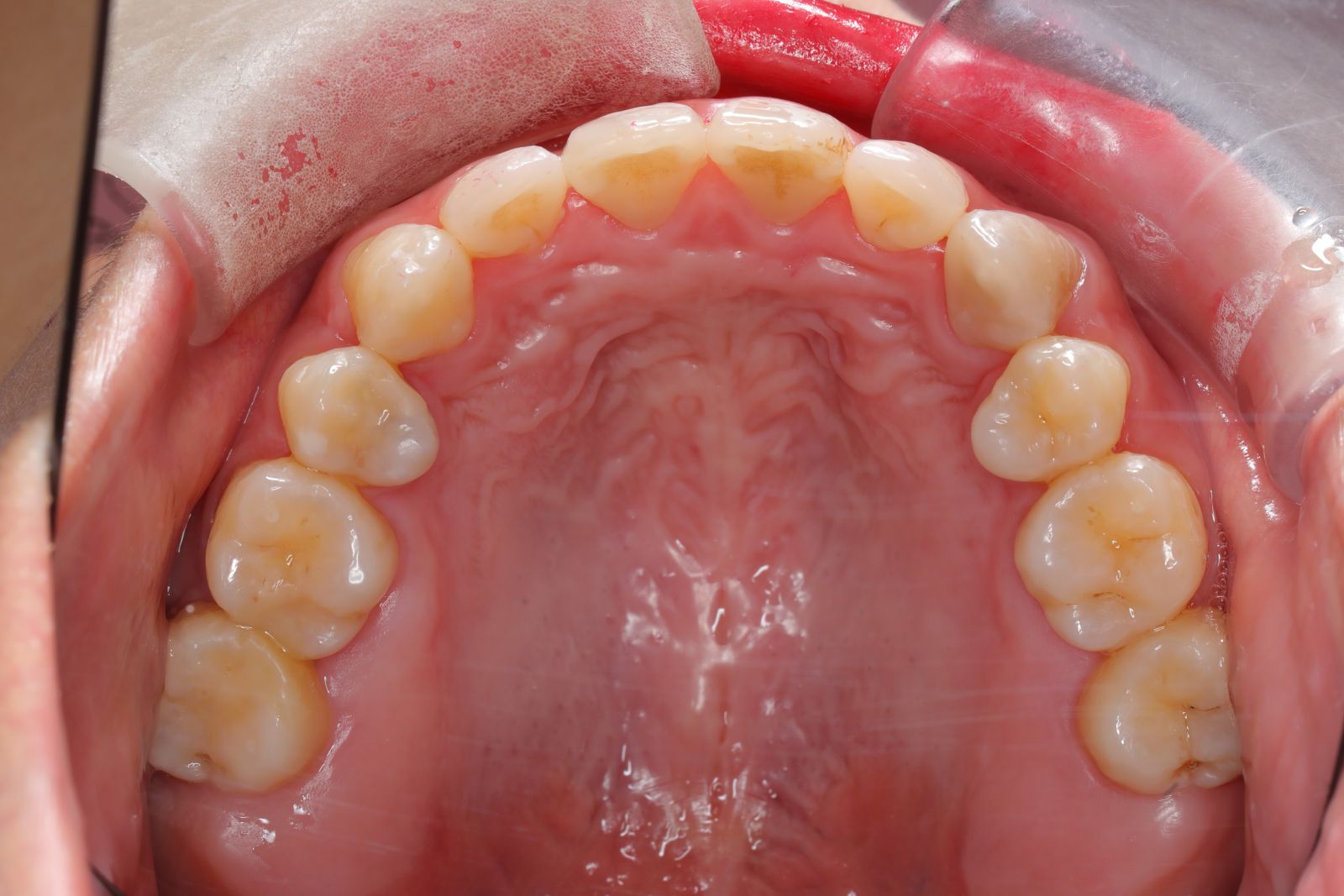
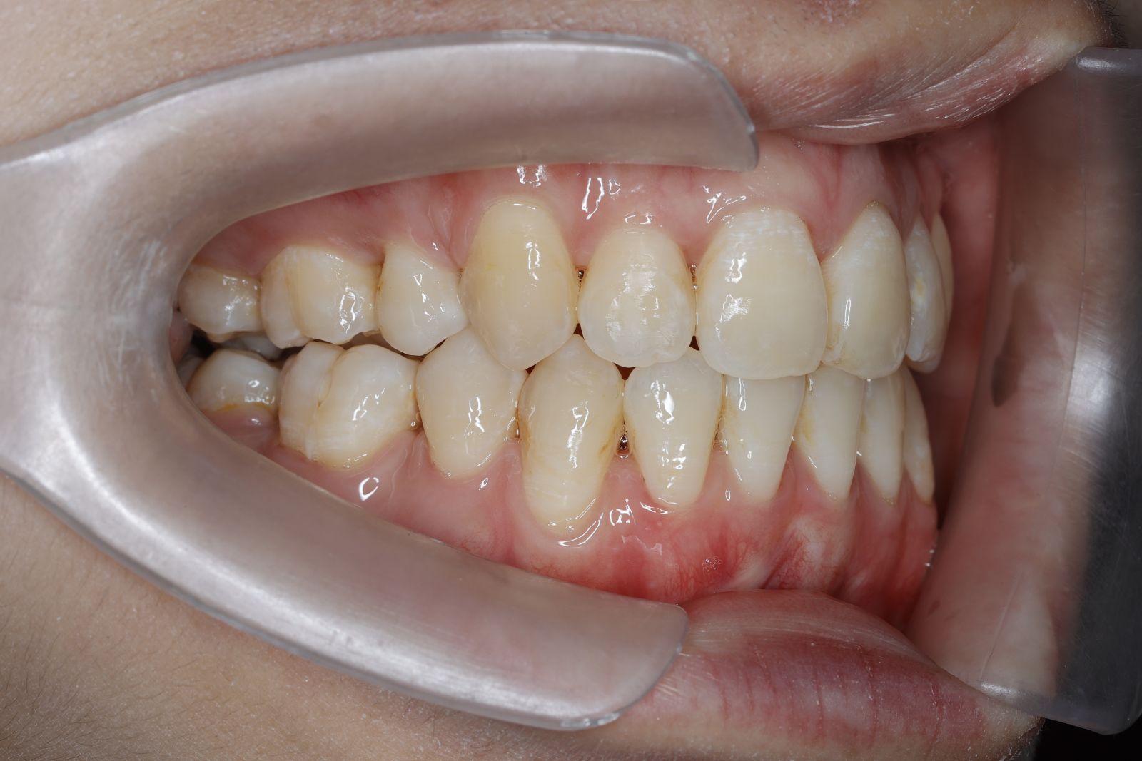
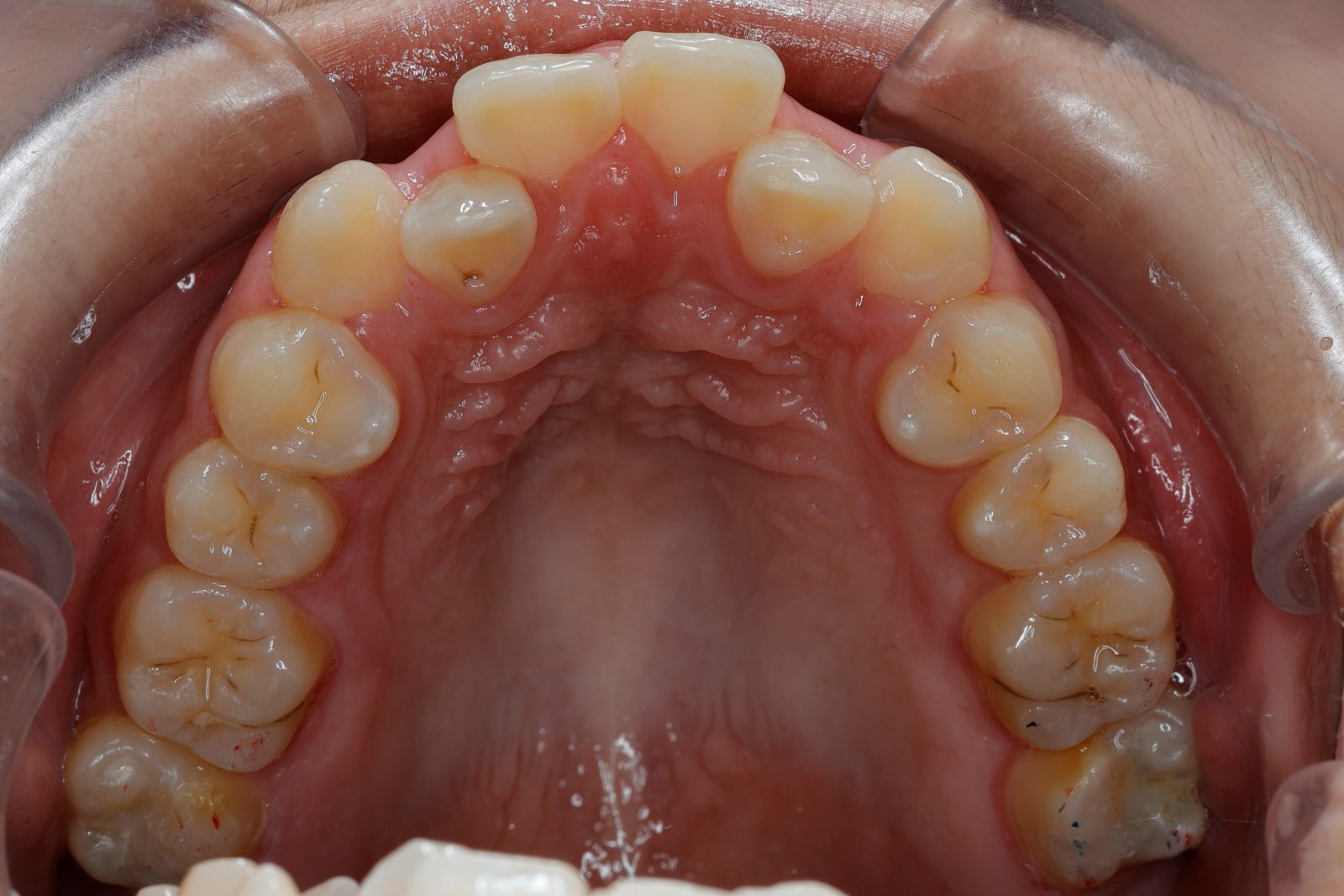
- 術 前
-
口內牙齒亂、牙齒暴,咬合開咬
-
上嘴唇翹,下巴後縮,較沒有微笑曲線
-
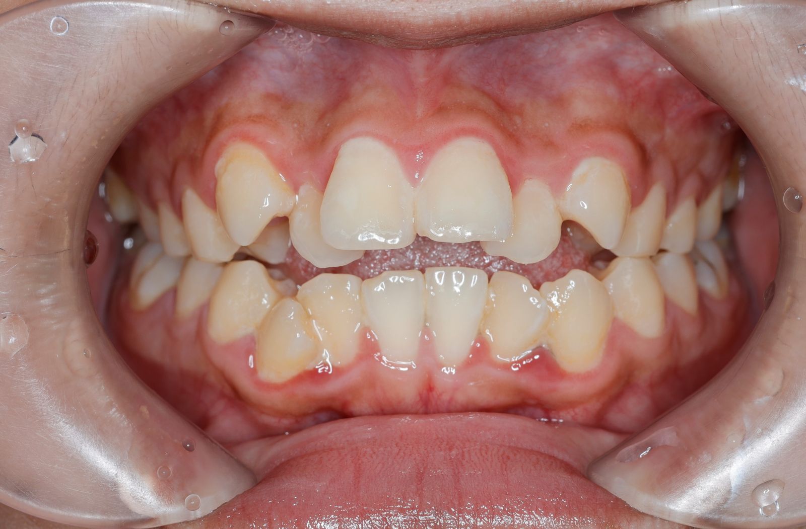
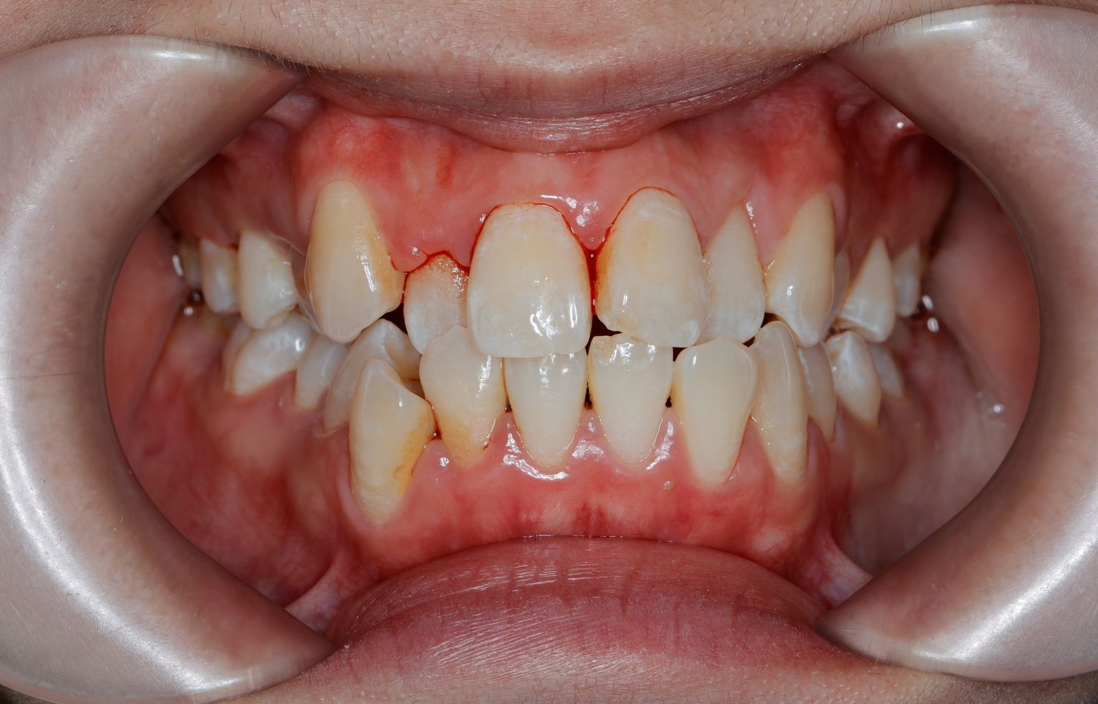
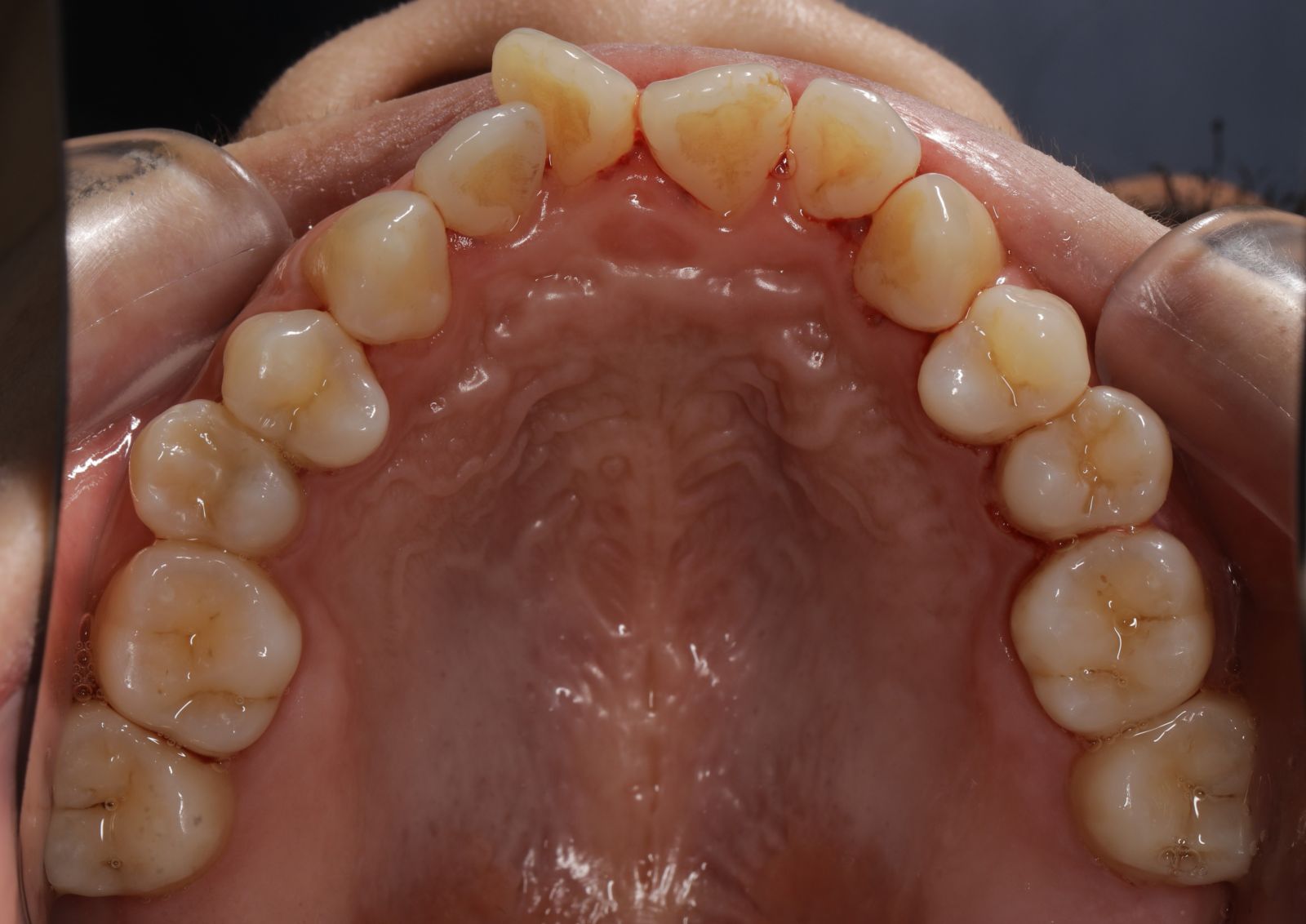
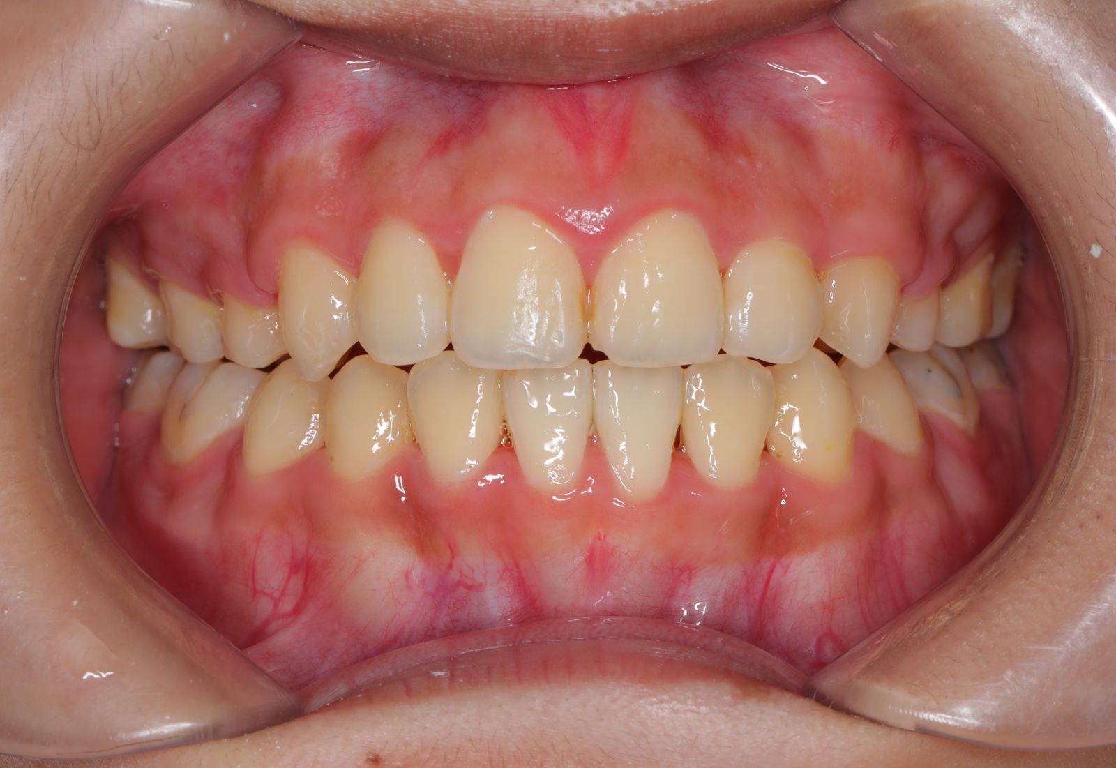
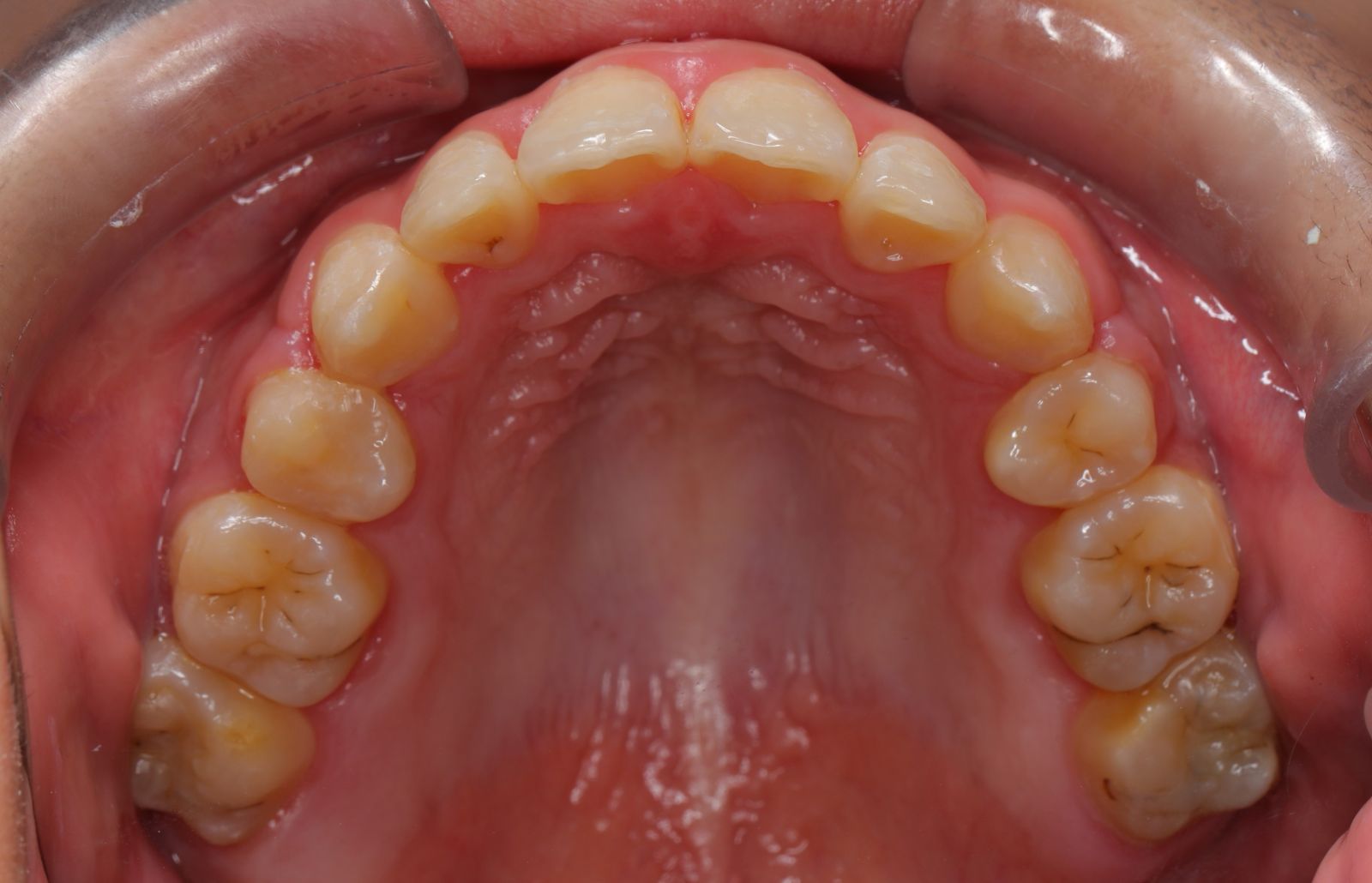
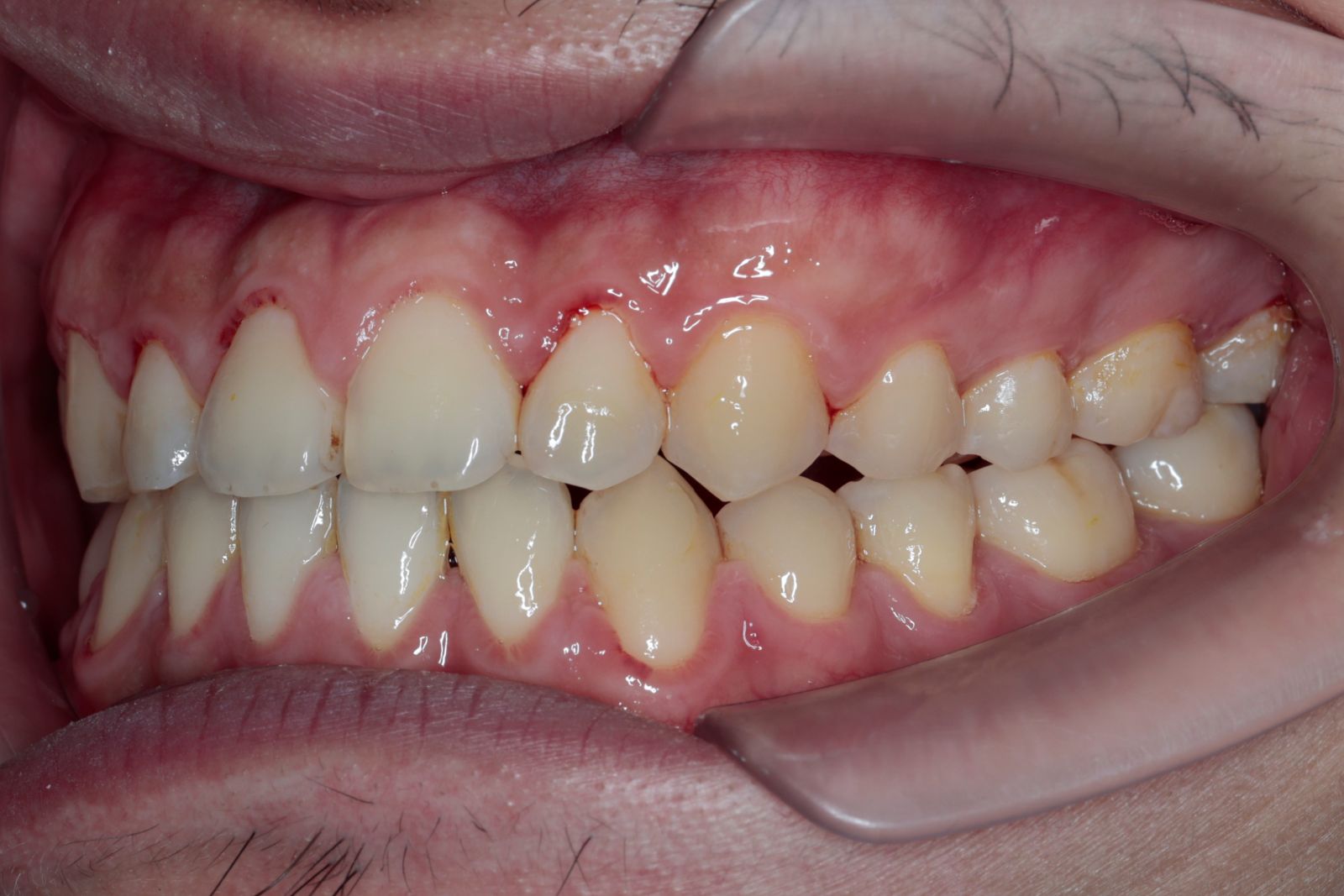
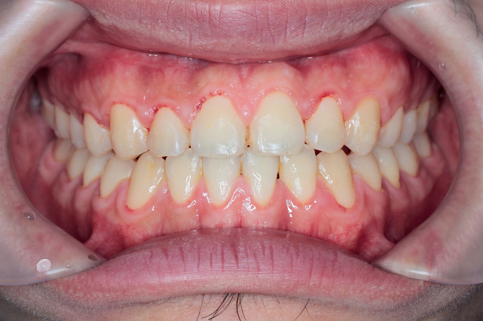
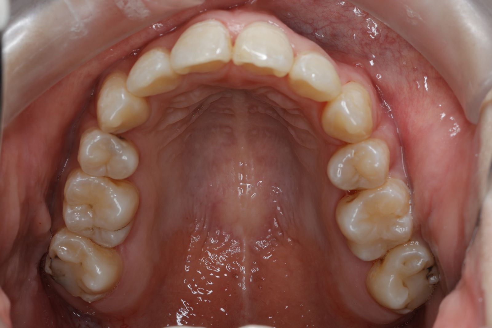
- 術 後
-
口內整齊,門牙角度平順
-
唇形及下巴線條自然、有微笑曲線
-
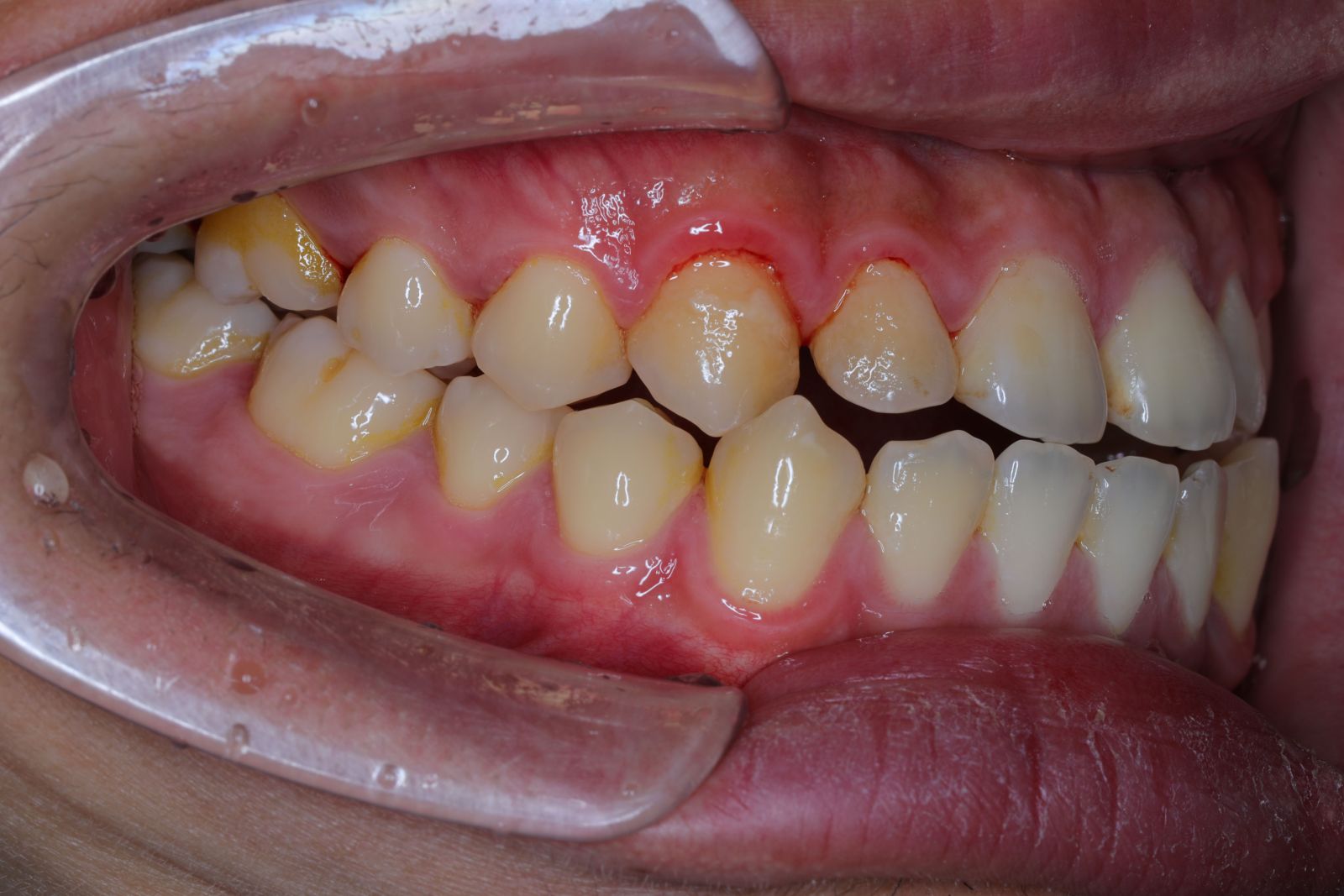
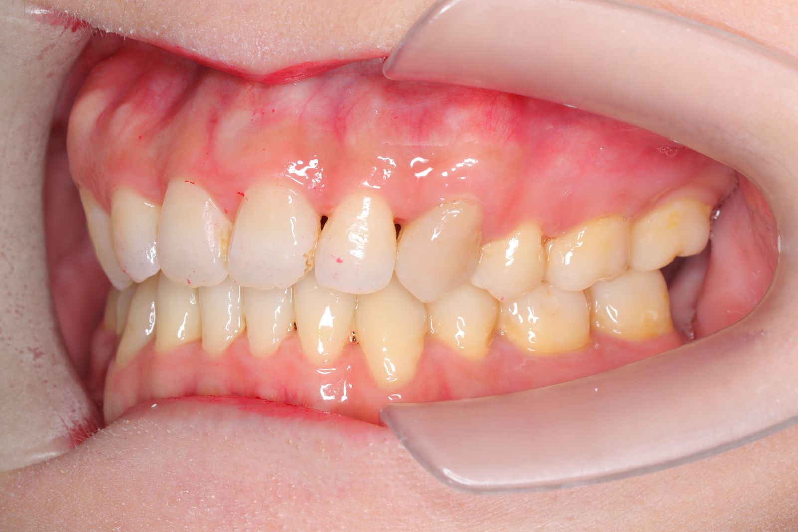
【 案 例 二 】
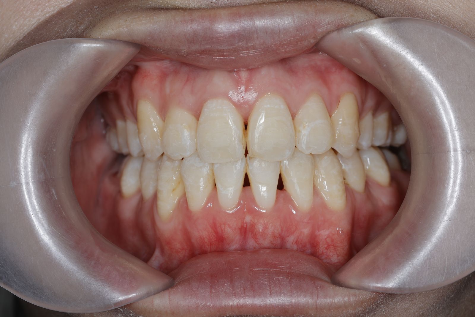
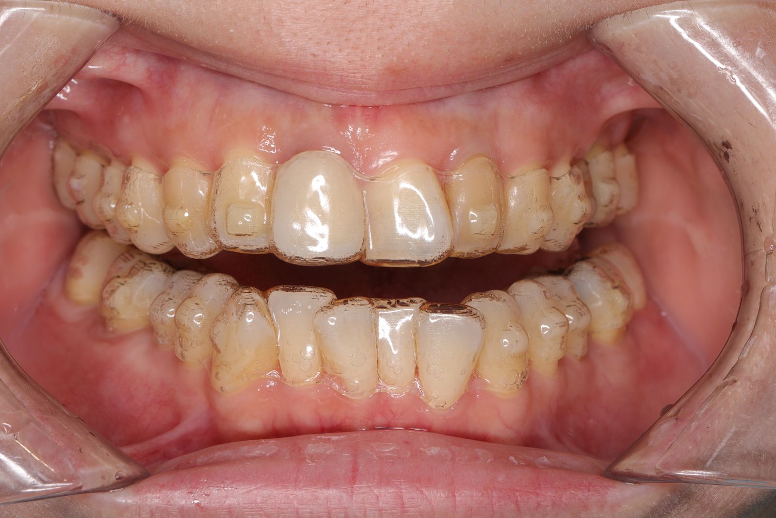
這位患者矯正的訴求是因為牙弓空間不夠,造門牙外擠後凸出,上下咬合關係不正確。
因為調整過程需要空間,避免排整齊後變得更暴,矯正過程中院長林政憲醫師,拔了4顆小臼齒,經過約2年的時間關縫調整,改善咬合關係後也讓下巴線條更明顯立體好看!
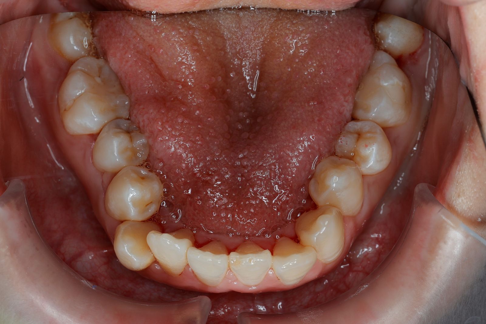
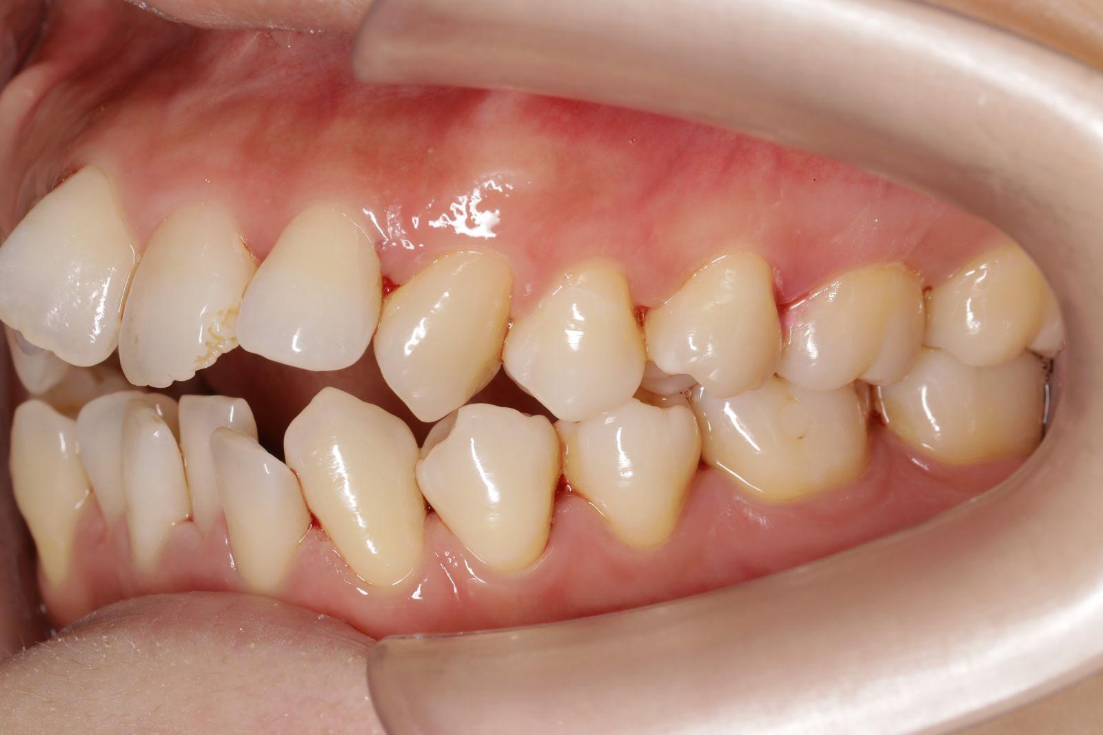
- 術 前
- 口內牙齒亂門牙外翻咬合不齊
- 因前牙咬合不正下巴線條較圓潤
- 口內牙齒亂門牙外翻咬合不齊
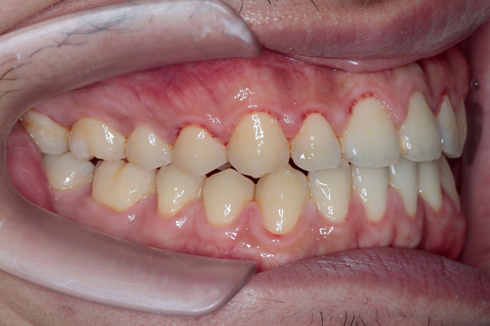
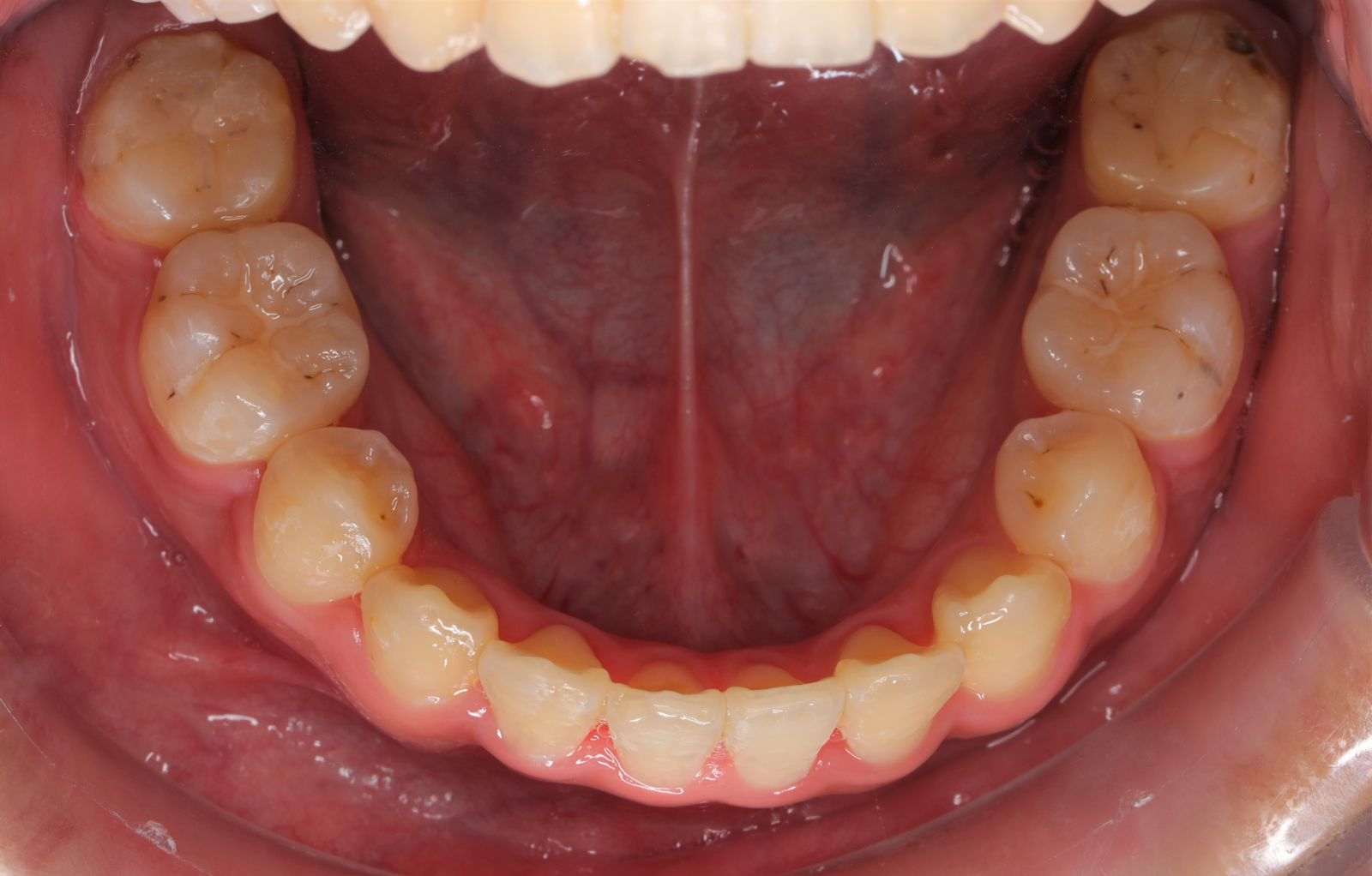
- 術 後
-
牙齒排整齊後恢復正常咬合關係
-
臉部線條較有立體感
-
【 案 例 三 】
病患因為骨頭生長關係,導致下巴發育較多、較凸出,前牙反咬合且咬合不正造成下巴歪斜嚴重。矯正前,由院長林醫師判斷空間夠而且不需要拔牙,幫助患者將下排牙齒拉進來後,改善前牙相對關係,把縫關完恢復正常咬合,讓患者找回更自然自信的笑容。
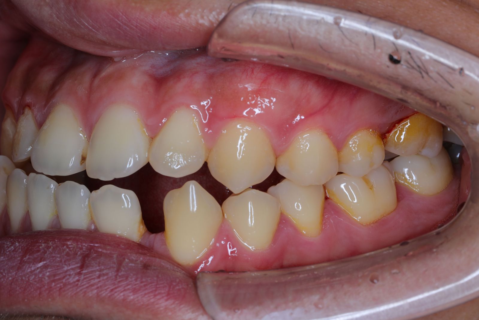
- 術 前
-
前牙縫隙大,下巴較凸出且咬合不正,也是我們俗稱的”戽斗”
-
側臉線條下唇外凸,且咬合不正讓下巴歪斜更明顯
-
- 術 後
-
前牙關縫後把牙齒拉到正確咬合關係,中線對好後讓左右咬合對稱
-
側面線條下唇明顯往後縮,下巴的不對稱歪斜因為中線對好後改善。
-
【 案 例 四 】
患者的主要訴求是,牙弓過窄空間不足造成牙齒亂,且門牙也較往外暴,讓上下唇形明顯都比較往外凸出。矯正期間,院長林政憲醫師幫患者拔除4顆小臼齒,讓牙齒有空間排整齊以外,還可以把門牙往後拉來改善唇形。
- 術 前
-
牙弓狹窄,呈現”v”型,導致牙齒凌亂,間接造成咬合不正
-
牙弓狹窄也讓前牙比較暴,側臉形明顯嘴唇較凸下巴線條不明顯
-
- 術 後
-
拔牙後有空間排齊牙齒,”v”型牙弓用線的力量調整成”U”型,讓門牙有空間往後拉。
-
門牙往後退也讓側臉明顯唇型往後縮,建立屬於自己的微笑曲線。
-
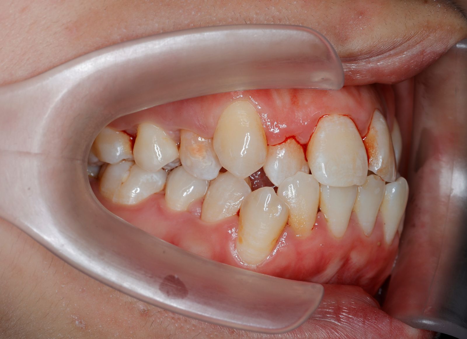
【 案 例 五 】
這位患者因為上下牙弓差距大以及牙齒亂影響咬合造成開咬。門牙暴嘴唇比較凸出,下巴線條不明顯。院長林政憲醫師幫患者拔除4顆小臼齒,讓牙齒有空間排整齊以外,還可以把門牙往後拉解決開咬來改善唇形。
- 術 前
-
牙齒凌亂,上排牙弓較暴,上下門牙閉不起來,是我們俗稱的”開咬”
-
因為開咬加上門牙比較暴,嘴唇放鬆時會閉不起來,整體脣形會比較凸出
-
- 術 後
-
用拔牙空間把牙齒排整齊,門牙往後拉改善暴牙,將上下牙弓對應好讓咬合正確。
-
牙齒往後拉之後微笑曲線自然好看。唇形往後收也讓下巴更立體臉型也變小了。
-