
2025/08/20
【陶瓷嵌體/3D齒雕】
3D齒雕也就是陶瓷嵌體是指用全陶瓷等修復物來修復牙齒的缺損。一般補牙材料(如樹脂)在硬化過程中可能產生收縮,導致與牙齒之間出現微小縫隙,細菌容易從這些縫隙滲入,引發二次蛀牙導致牙齒崩裂缺損影響壽命,使用陶瓷嵌體(瓷塊) 可以有效保護經過根管治療或嚴重蛀牙的牙齒,防止牙齒進一步損壞和斷裂。讓我們來看看以下案例:
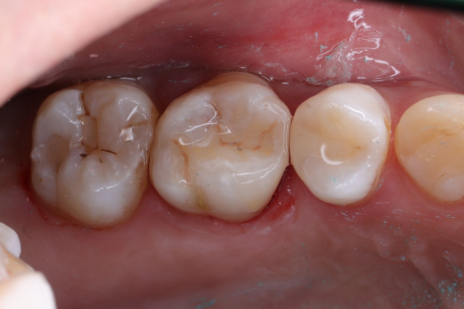
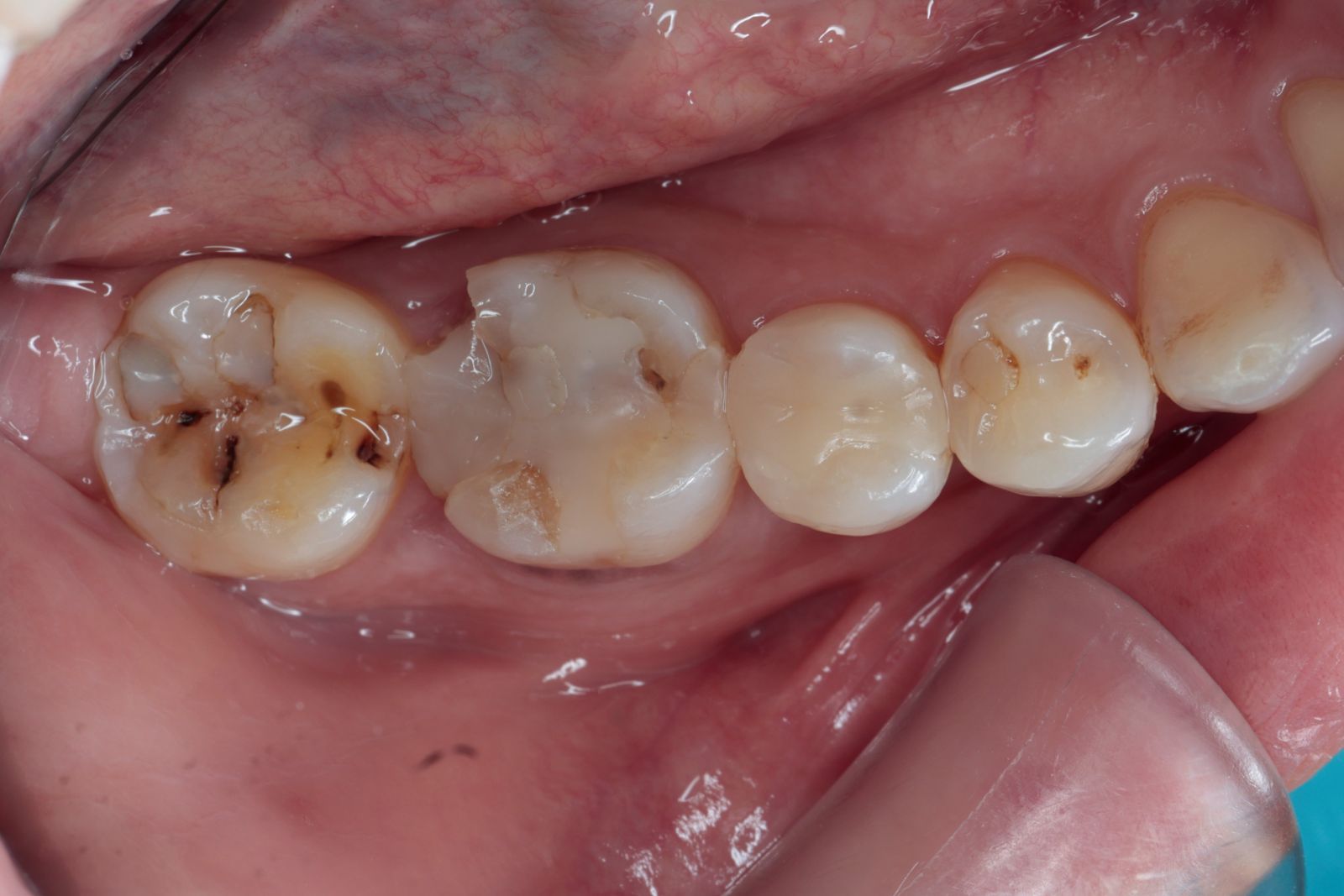
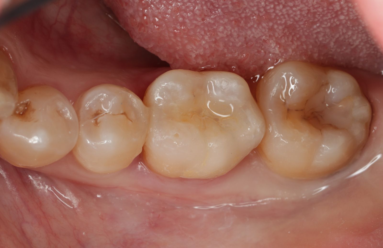
【 案 例 一 】
- 以前大範圍的樹脂補牙,久了造成二次蛀牙,不只是材料不密合,原本的牙齒還可能斷裂。把蛀牙挖乾淨後,隔絕感染源再印模,待陶瓷齒雕送回後再以特殊黏膠黏著完成!經過全陶瓷齒雕修復後,跟原先相比之下,牙齒恢復外型以外還能增強牙齒強度。
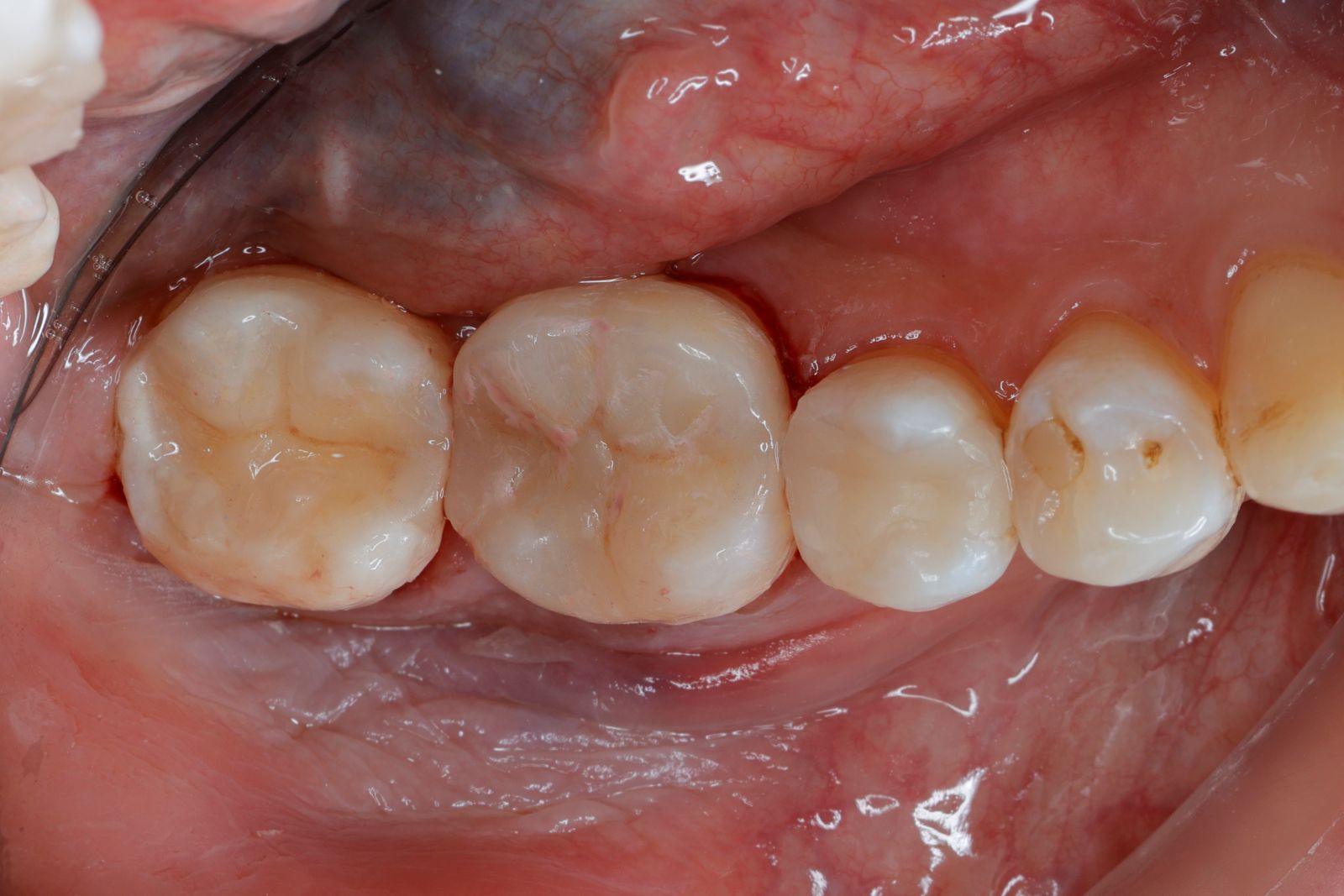
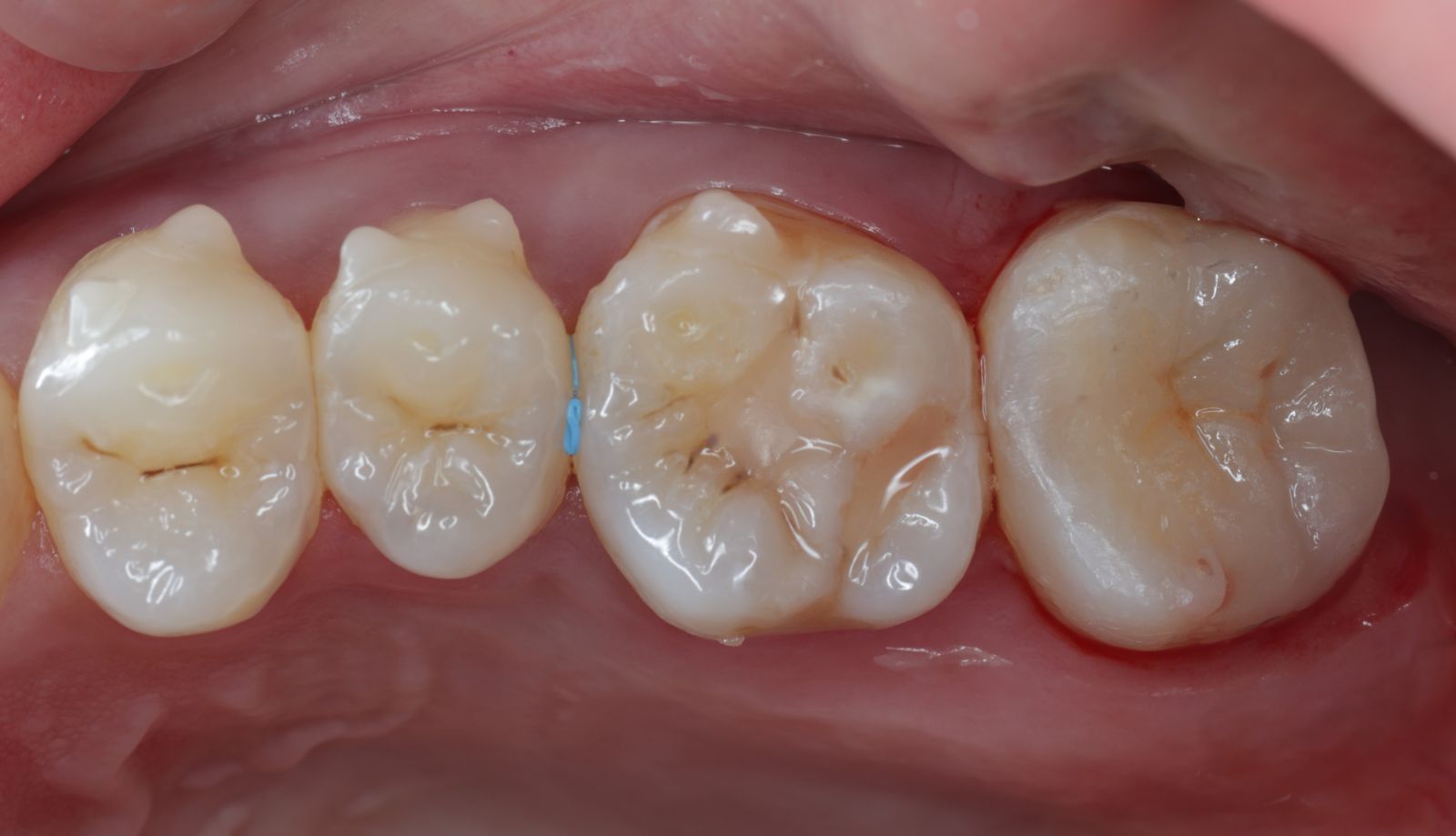
【 案 例 二 】
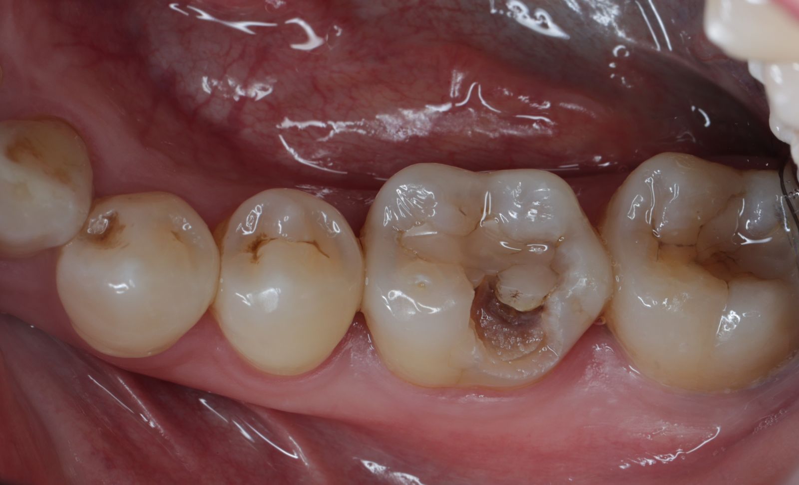
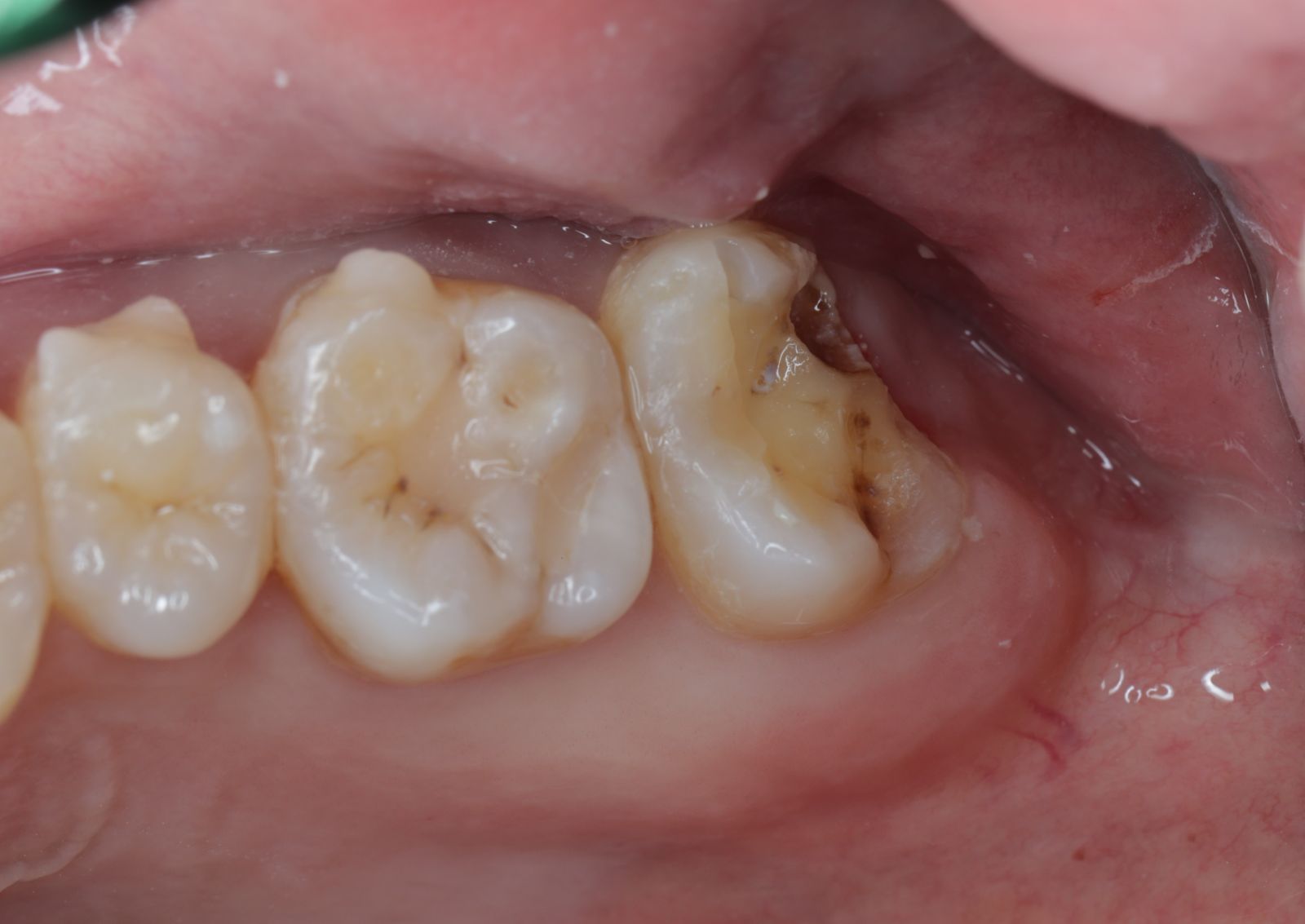
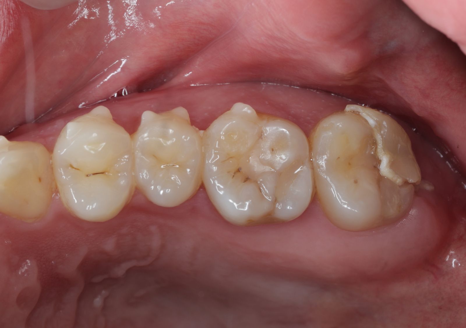
【 案 例 三】
- 有時候表面上看起來是蛀牙是一個小缺口,其實裡面已經是範圍很大的蛀牙了!用隔濕的小帳棚隔絕汙染、清理蛀牙,缺損的齒質就靠陶瓷齒雕(瓷塊)做修復!仿真的色澤及外觀,讓你看不出來牙齒曾經的損傷。
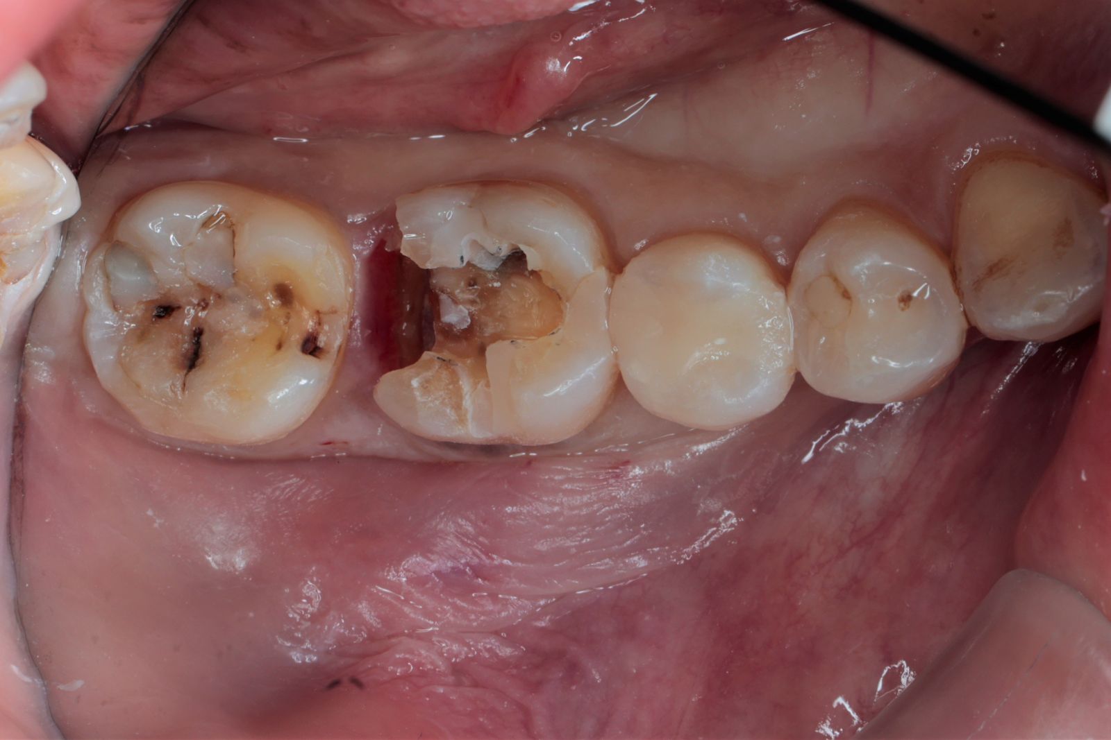
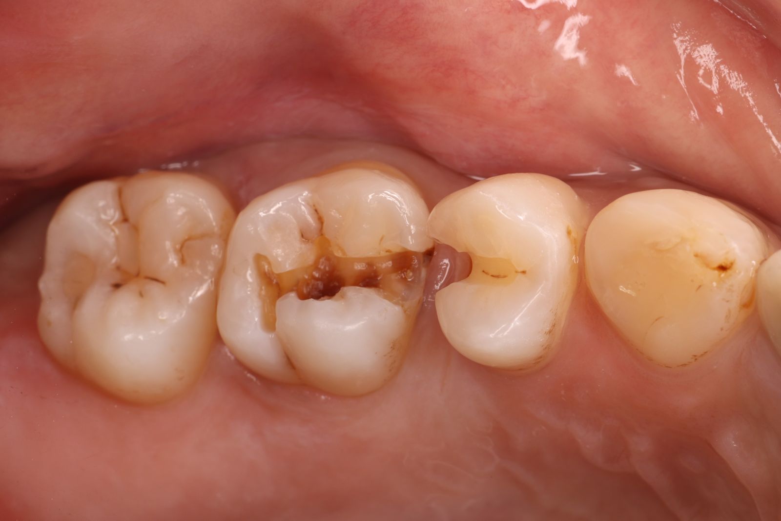
【 案 例 四】