2025/08/20
【微創植牙】
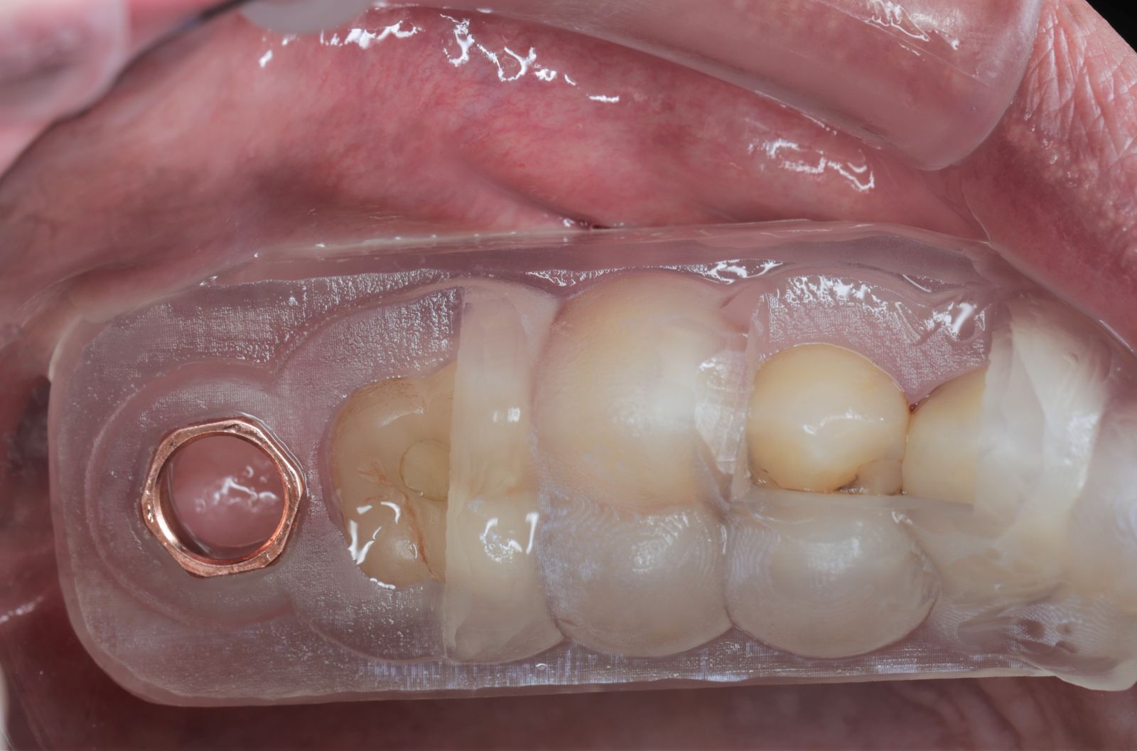
您更優質的微創植牙選擇,大幅減少疼痛與腫脹,恢復快速更加舒適!過去傳統人工植牙,醫師只能憑經驗進行手術,面對上顎竇和神經、血管的風險極高。現在有了數位微創植牙技術,診所特別採用3shape Trios 數位掃描搭配3D電腦斷層技術,透過術前模擬定位,提供詳細的植牙治療規劃及數據分析,大幅降低植牙風險與不適。
微創植牙三步驟:
- 術前依照骨頭狀況評估植牙角度及位置

- 結合 3D電腦斷層影像分析,制訂詳細手術治療計畫,提前確定植牙深度、尺寸。讓手術過程中降低手術風險且大幅度提升植牙成功率

- 手術過程使用3D列印的高精準度導引板,不只增加手術的穩定性、安全性,減小手術傷口,減少疼痛,讓術後傷口復原時間更短,不影響日常生活及工作。

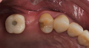
【 案 例 一 】
- 手術過程,在植入植體前先用導板定位,確認植牙位置及角度。
- 植牙當下不用劃開傷口無須縫合,鎖上癒合帽即可,也不需縫合傷口
-
待3.4個月後裝上全陶瓷牙冠完成植牙療程。整個療程過程輕鬆。
實際療程效果因人而異,需經過醫生評估後才能確定適不適用唷。
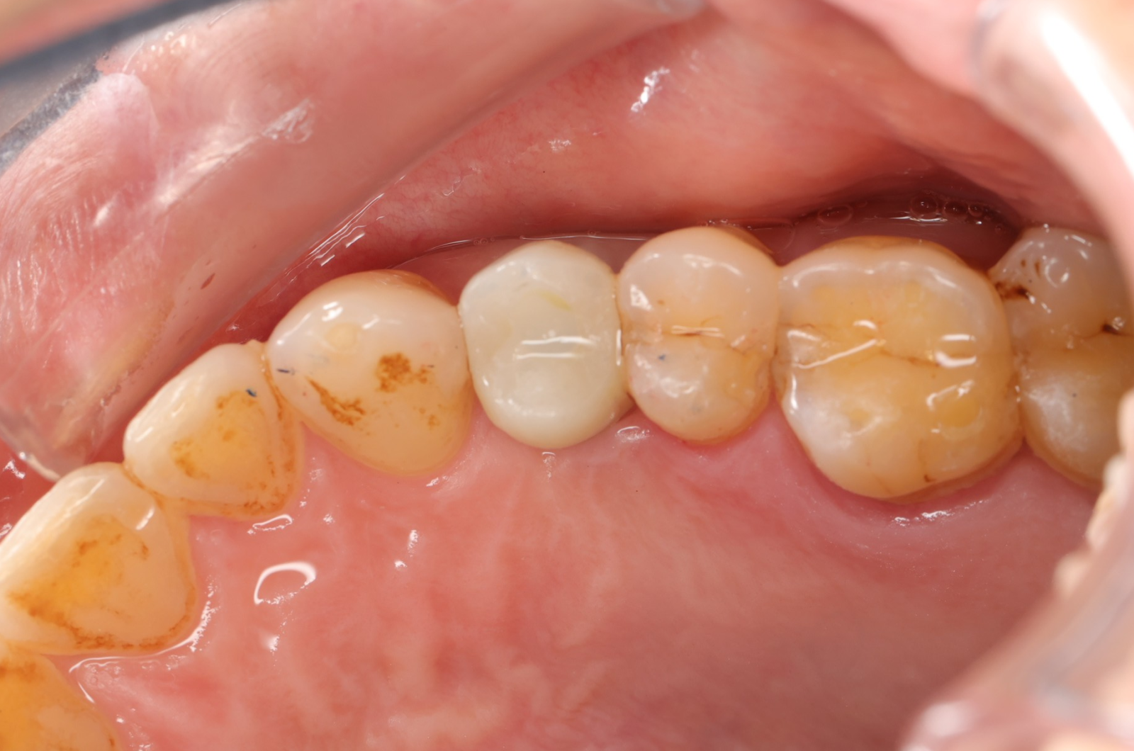
【 案 例 二】
- 手術過程,在植入植體前先用導板定位,確認植牙位置及角度。

- 手術中先使用導板定位,確認植牙角度及位置
- 藉由導板的定位,無須劃開傷口,精準的植入植體。

- 植入植體後不用劃開傷口無須縫合,鎖上癒合帽等待骨整合完成,過程輕鬆舒適。
- 3-4個用即可裝上全瓷牙冠恢復咬合功能
實際療程效果因人而異,需經過醫生評估後才能確定適不適用唷。
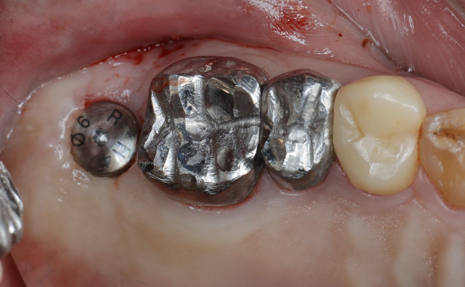
【 案 例 三 】
- 手術過程,在植入植體前先用導板定位,確認植牙位置及角度。使用導板讓傷口範圍縮小。
- 手術後傷口小無需縫合,也不用再來拆線,幾乎不會腫脹出血,術後恢復期舒適快速!
- 待3.4個月後裝上全陶瓷牙冠完成植牙療程。整個療程過程輕鬆。

實際療程效果因人而異,需經過醫生評估後才能確定適不適用唷。