品熙美學牙醫診所|新莊植牙專科推薦-政憲院長帶領頂尖醫療團隊,微笑升級最佳選擇

2025/08/21

【冷光美白】

冷光美白是一種牙齒美白的方式,它利用特殊成分的美白藥劑和低溫藍光照射,分解牙齒表面的色素,達到美白效果。 這個過程不需要磨損牙齒表面,且能有效去除因飲食、抽菸等因素造成的牙齒染色。 

 

冷光美白的優點——

  • 快速見效: 在療程結束當下就能看到明顯的美白效果。

  • 安全性高: 在專業牙醫操作下,安全性較高,不會對牙齒造成損害。

  • 效果持久: 效果可維持一段時間,但仍需注意日常保養和飲食習慣。

 


 

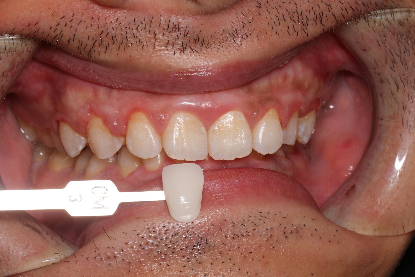
【 案 例 一 】
 

 

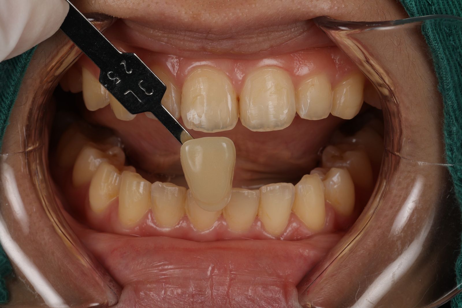
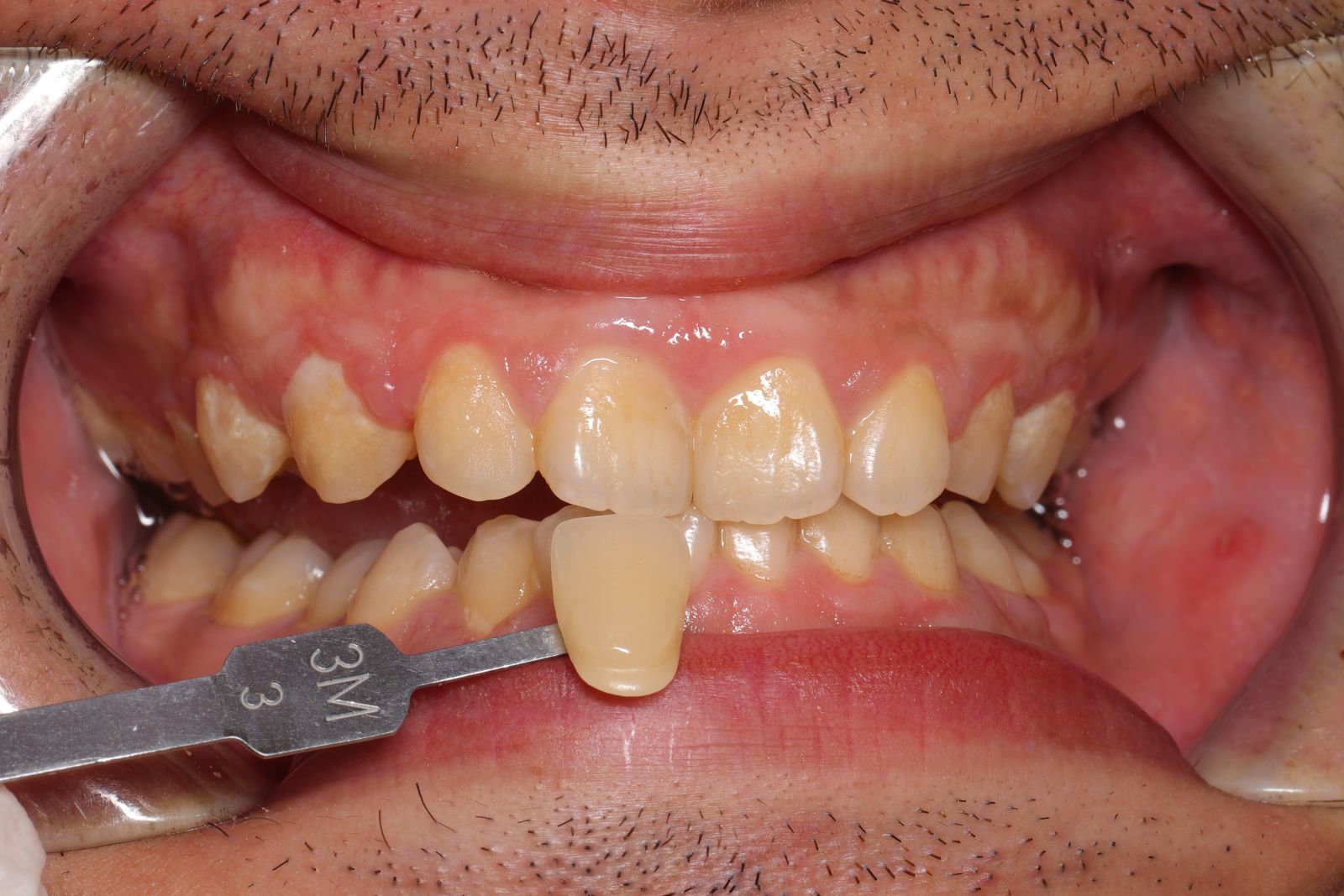
【 案 例 二】
 

 

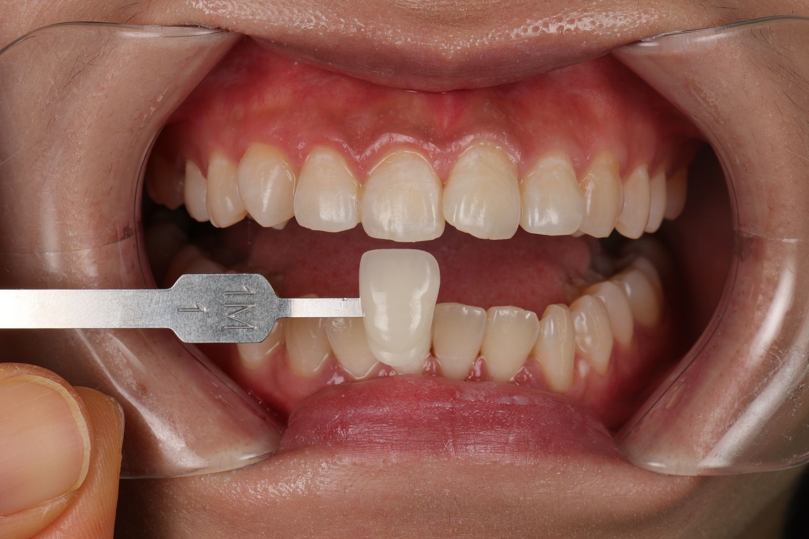
【 案 例 三 】